AP/ Noduläre Nebenschilddrüsenhyperplasie

Diagnose
Noduläre Nebenschilddrüsenhyperplasie
Diagnose Gruppe
Hyperplasie / Hypertrophie
Differenzialdiagnose
  • Nebenschilddrüsenadenom
Topographie Gruppe
Endokrinium
Topographie
Nebenschilddrüse
Einleitung
Hyperparathyreoidismus:
 Hyperplasien und Tumoren der Nebenschilddrüse sind in der Regel mit einer übermässigen Produktion und Ausschüttung von Parathormon assoziiert. Diese chronische Parathormon-Übersekretion wird als Hyperparathyreoidismus (HPT) bezeichnet. 
Dabei werden 3 Formen unterschieden: 
  • primärer (pHPT): PTH-Sekretion unabhängig von den Bedürfnissen des Organismus 
  • sekundärer (sHPT): adaptative Hyperplasie der Epithelkörperchen 
  • tertiärer (tHPT): Übergang des adaptativen, regulierten sHPT in eine autonome Parathormonsekretion. Aetiologie des Hyperparathyreoidismus:

 Die Ursache eines pHPT kann ein solitäres Adenom (> 010111) der Hauptzellen (80-85%), ein oxyphiles Adenom (<4%), eine Hyperplasie der Hauptzellen (15-20%), ein Karzinom der Nebenschilddrüse (<3%) oder selten eine Entzündung der Nebenschilddrüsen bzw. ein Lipoadenom sein. Bei bis zu 20% der Patienten mit pHPT treten die Nebenschilddrüsenveränderungen im Rahmen eines MEN1 oder seltener MEN2A-Syndroms auf.
Dem sHPT zugrunde liegt zumeist eine chronische Niereninsuffizienz mit einer Vitamin D-Synthesestörung, einer Hyperphosphatämie und einer Hypokalzämie. Ein Vitamin D-Mangel durch Malnutrition oder Malabsorption, chronischen Leberschaden, verminderte Sonnenexposition, Synthesedefekte oder eine Endorganresistenz bei Rezeptordefekt kann auch bei normaler Nierenfunktion zu einem sekundären Hyperparathyreoidismus führen. Der sHPT ist Ausdruck einer regulativen Anpassung an eine Störung der Kalziumhomöostase. 
Der Übergang des regulativen sHPT in eine autonome PTH-Sekretion unabhängig vom Serumkalziumspiegel wird als tHPT bezeichnet. 

Morphologie der Nebenschilddrüsenhyperplasie:
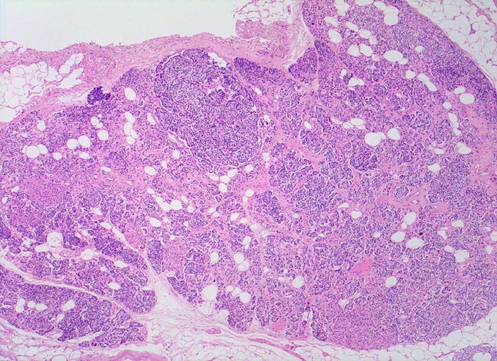
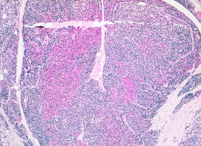
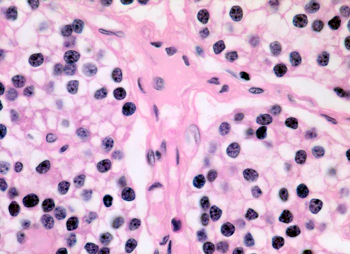
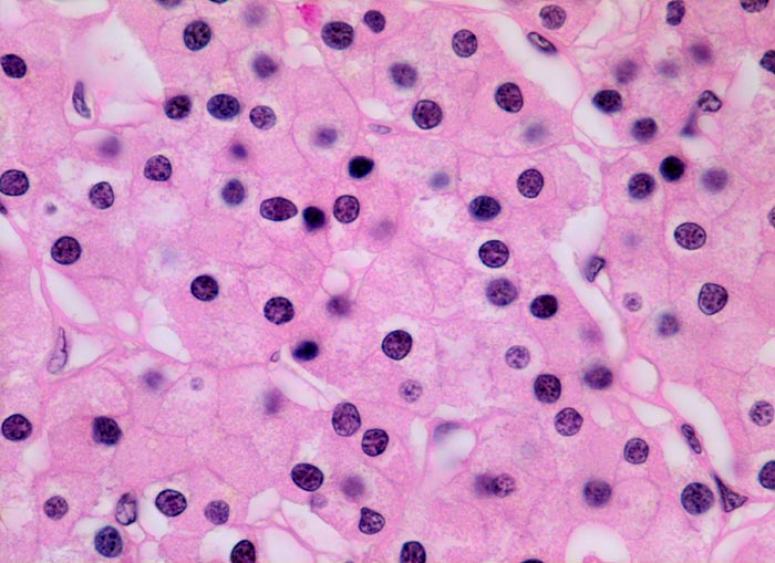
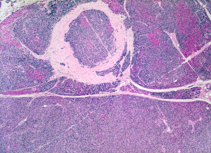
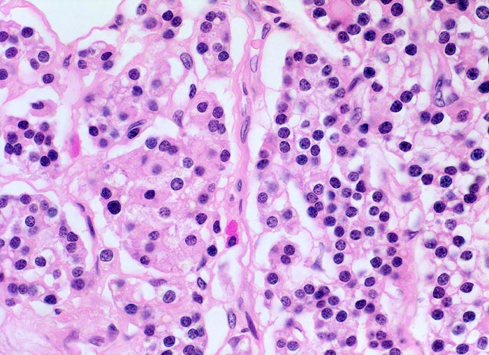
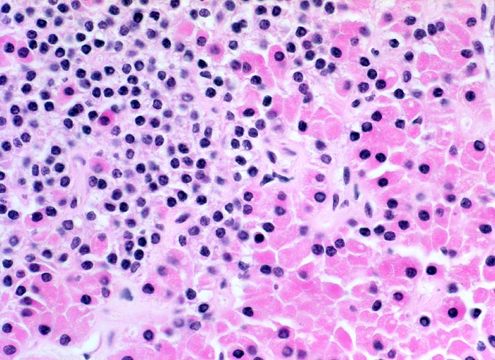
Morphologisch besteht bei sHPT eine Hauptzellhyperplasie. Makroskopisch findet sich eine meist ungleich ausgebildete Vergrösserung aller Nebenschilddrüsen. Die Grösse der Drüsen entspricht der Schwere und der Dauer des Stimulus. Die im früheren Stadium gefundene diffuse Hyperplasie mit Ersatz des Stromas und der Fettzellen durch chronisch stimulierte Hauptzellen (> 558) (> 559) geht im späteren Stadium in eine noduläre Hyperplasie („Pseudoadenome“) über (> 2358). Die regulierte Anpassung der Nebenschilddrüsen kann in eine Autonomie übergehen (tHPT) (> 3704). Morphologisch besteht in diesem Fall eine unregelmässige noduläre Hyperplasie. Gelegentlich entwickelt sich beim tHPT ein dominanter Knoten, der morphologisch nicht von einem Adenom bei pHPT unterscheidbar ist. 

Anmerkung:
 Zur korrekten Beurteilung einer Nebenschilddrüsenpathologie ist der Pathologe auf klinische Angaben angewiesen (primärer oder sekundärer Hyperparathyreoidismus, eine oder mehrere Drüsen betroffen). Während früher der intraoperative Gefrierschnitt mit dem Minimalziel des Nachweises oder Ausschlusses einer pathologisch veränderten Nebenschilddrüse durchgeführt wurde, dient er heute praktisch ausschließlich der Identifikation von Nebenschilddrüsengewebe. Bei Operationen an der Nebenschilddrüse sollte heute anhand der modernen präoperativen Diagnostik bereits feststehen, ob eine Ein- oder Mehrdrüsenerkrankung vorliegt. Entscheidend für das Ausmass der Operation ist die intraoperative Bestimmung des Parathormonwertes. Bei Bestehen einer Ein-Drüsen-Erkrankung wird nur die betroffene Drüse entfernt. Ohne klinische Angabe kann der Pathologe in solchen Fällen ein Adenom nicht sicher von einer Hyperplasie unterscheiden. 

update 30. August 2012 
Klinik
Symptomatik:
 Nur der pHPT und tHPT gehen mit Hyperkalzämie und den damit verbundenen Komplikationen (Muskelschwäche, allgemeine Müdigkeit, Nierenkoliken, Gewichtsverlust, mentale Veränderungen, Obstipation, epigastrische Schmerzen, Erbrechen, Polyurie/Polydipsie) einher, während alle 3 Formen die Ursache des mit einem HPT assoziierten osteologischen Syndroms (Knochenschmerzen, Knochenbrüche, Osteomalazie, Fibroosteoklasie) sein können. Die klinischen Befunde sind beim Adenom praktisch identisch mit denen der primären Hyperplasie. Da aufgrund des biochemischen Screenings Patienten mit pHPT heute sehr viel früher entdeckt werden, hat sich die Symptomatologie verändert. Hyperkalzämische Patienten werden regelmäßig im noch asymptomatischen Stadium erkannt oder zeigen lediglich milde Symptome wie Müdigkeit oder Depressionen. 
Beim renalen sekundären Hyperparathyreoidismus stehen Beschwerden des Bewegungsapparates im Vordergrund (Knochenschmerzen, Frakturen, proximale Muskelschwäche). Zusätzlich können Verkalkungen der Weichteile und der Gefässe auftreten. Die Symptome des intestinalen sekundären Hyperparathyreoidismus werden durch das Grundleiden und die Auswirkungen auf das Skelettsystem bestimmt. Die Symptome können individuell sehr unterschiedlich sein. Der Vitamin-D-Mangel ist verantwortlich für die Symptome einer Osteomalazie (> 3519). Steht die Abnahme der Knochensubstanz (Osteopenie) im Vordergrund, treten Symptome einer Osteoporose auf. Die Hypokalzämie kann Tetanien auslösen. 

Diagnostik:
 Für die Diagnose wird der Kalzium- und Phosphatspiegel bestimmt. Außerdem Parathormon-, Serumphosphatase- und Vitamin-D Spiegel. Neben den Laboruntersuchungen müssen Betroffene auch geröngt werden zum Nachweis der renalen Osteopathie. Nebenschilddrüsen sind makroskopisch nicht immer eindeutig von kleinen Lymphknoten oder Schilddrüsenknoten abzugrenzen. Deshalb werden operativ entnommene Nebenschilddrüsen zur Bestätigung der Organdiagnose oftmals mittels intraoperativem Schnellschnitt untersucht. Auch eine Unterscheidung von Schilddrüsengewebe und Nebenschilddrüsengewebe kann die Indikation für eine intraoperative Schnellschnittuntersuchung sein (> 4334).

Therapie:
 Therapie des sekundären Hyperparathyreoidismus: Diätetische Phospateinschränkung, Phosphatbinder, Kalziumkarbonatsubstitution, Substitution von 25(OH)-Vitamin D3 oder 1-alpha-hydroxiliertem D3. Die Indikation zur operativen Therapie ist gegeben bei persistierender Hyperkalzämie (Übergang in tertiären Hyperparathyreoidismus oder therapieinduziert), Spontanfrakturen bei Fibroosteoklasie, schwerer renaler Osteopathie bei Normokalzämie oder Weichteil- und Gefässverkalkungen. Es wird eine subtotale Parathyreoidektomie mit Belassen eines Nebenschilddrüsenrestes durchgeführt oder alternativ eine totale Parathyreoidektomie mit simultaner Autotransplantation. Ein 5 Minuten nach Entfernung des pathologischen Nebenschilddrüsengewebes gemessener über 50%iger Abfall des Parathormons gilt als Hinweis auf eine erfolgreiche Operation und erlaubt gleichzeitig zwischen einer Hyperplasie aller 4 Nebenschilddrüsen und dem (sehr seltenen) Vorliegen von mehr als einem Nebenschilddrüsenadenom zu unterscheiden. 

update 30. August 2012 
Morphologie
Morphologische Merkmale: 
  • Knotige vergrösserte Nebenschilddrüse. Abgrenzung der einzelnen Knoten durch breite Fibrosebänder. 
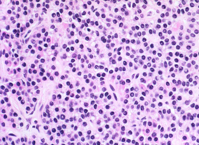
  • Hyperplasie lipidarmer Hauptzellen. 
  • Areale mit oxyphilen Zellen. 
  • Verminderter Fettgehalt (<<35%). Für normale Nebenschilddrüsen gilt: 
  • Gesamtgewicht der 4 Nebenschilddrüsen beim Mann 120±3.5 mg, bei der Frau 142±5.2 mg; einzelne normale Epithelkörperchen wiegen nicht mehr als 60 mg. 
  • Anteil reifer Fettzellen im Stroma (Durchschnitt 17%, selten mehr als 50%; Frauen 20.5%, Männer 15.6%). Das sollte der Kliniker dem Pathologen mitteilen: 
  • Eine oder mehrere Nebenschilddrüsen verändert. 
  • Parathormonspiegel. 
  • Kalzium- und Phosphatspiegel. 
  • Niereninsuffizienz. 
  • MEN-Syndrom. 
Makroskopie
Befund
Pathologischer Befund
Normalbefund
Datum
Ersteintrag: 01.04.2019
Update: 11.07.2022