PathoPic – image database / PathoPic ID 559 - Sekundärer Hyperparathyreoidismus: Hauptzell-Hyperplasie

de
Diagnose
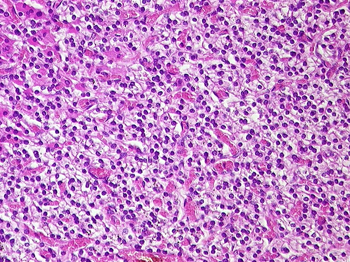
Sekundärer Hyperparathyreoidismus: Hauptzell-Hyperplasie
Diagnose Gruppe
Hyperplasie / Hypertrophie
Topographie
Nebenschilddrüse
Topographie Gruppe
Endokrinium
Beschreibung
Hauptzellen mit klarem Zytoplasma und kleinen runden Kernen. Fehlendes Fettgewebe.
Klinik
Dialyse seit Jahren bei terminaler Niereninsuffizienz wegen Analgetikanephropathie.
Bilder Typ
Histologie
Alter
75
Geschlecht
unbekannt
Datum
Ersteintrag: 14.11.2001