Pathopic
HiPaKu
ZyPaKu
PathoBasic
PathoBasic Cytology
Quizzes
Projektinfos
PathoPic - Projekt- und Copyright-Info
About
Pathopic
HiPaKu
ZyPaKu
PathoBasic
PathoBasic Cytology
Quizzes
PathoPic – image database
/
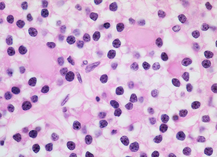
PathoPic ID 4334 - normale Nebenschilddrüse: Pseudofollikel
de
Diagnose
normale Nebenschilddrüse: Pseudofollikel
Diagnose Gruppe
Normalbefund
Topographie
Nebenschilddrüse
Topographie Gruppe
Endokrinium
Beschreibung
Hautpzellen können Pseudofollikel um
kolloidartiges Material bilden, was die Abgrenzung einer Nebenschilddrüse von der Schilddrüse (vor allem im Schnellschnitt) erschweren kann.
Bilder Typ
Histologie
Vergrösserung
630
Alter
64
Geschlecht
männlich
Datum
Ersteintrag: 05.04.2002
Update: 06.12.2006
CPS
·
©
2024 Institut für Pathologie Basel
/
Dr. med. Katharina Glatz-Krieger
.
·
v2.1