PathoPic – image database / PathoPic ID 4328 - normale Nebenschilddrüse

de
Diagnose
normale Nebenschilddrüse
Diagnose Gruppe
Normalbefund
Topographie
Nebenschilddrüse
Topographie Gruppe
Endokrinium
Beschreibung
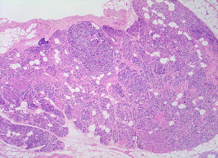
Bei Erwachsenen beträgt die Menge des stromalen Fettgewebes zwischen 10 und 30 Prozent (hier etwa 10%). Die Nebenschilddrüsen ist umgeben von einer schmalen bindegewebigen Kapsel. Ausgehend von der Kapsel ziehen schmale fibröse Trabekel in das Parenchym. Die oxyphilen Zellen bilden kleine rosarote Knoten innerhalb der grösseren Masse basophiler Hauptzellen.
Zusatzbefund
5mm lange braunrote Drüse von 30mg.
Kommentar
Eine Nebenschilddrüse wiegt beim Mann durchschnittlich 31.1mg bei der Frau 29.8mg. Die beiden unteren Drüsen sind grösser als die oberen.
Bilder Typ
Histologie
Vergrösserung
25
Alter
64
Geschlecht
männlich
Datum
Ersteintrag: 05.04.2002
Update: 18.12.2006