PathoPic – image database / PathoPic ID 558 - Sekundärer Hyperparathyreoidismus: Epithelkörperchenhyperplasie

de
Diagnose
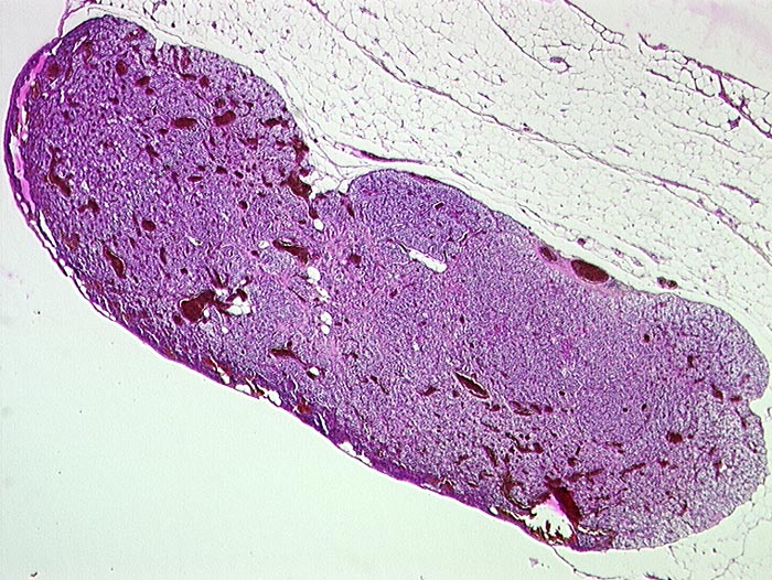
Sekundärer Hyperparathyreoidismus: Epithelkörperchenhyperplasie
Diagnose Gruppe
Hyperplasie / Hypertrophie
Topographie
Nebenschilddrüse
Topographie Gruppe
Endokrinium
Beschreibung
Leicht vergrössertes praktisch fettfreies Epithelkörperchen.
Klinik
Dialyse seit Jahren bei terminaler Niereninsuffizienz wegen Analgetikanephropathie.
Bilder Typ
Histologie
Alter
75
Geschlecht
unbekannt
Datum
Ersteintrag: 14.11.2001