PathoPic – image database / PathoPic ID 5093 - noduläre Nebenschilddrüsenhyperplasie

de
Diagnose
noduläre Nebenschilddrüsenhyperplasie
Diagnose Gruppe
Systemerkrankung/Immunpathologie
Topographie
Nebenschilddrüse
Topographie Gruppe
Endokrinium
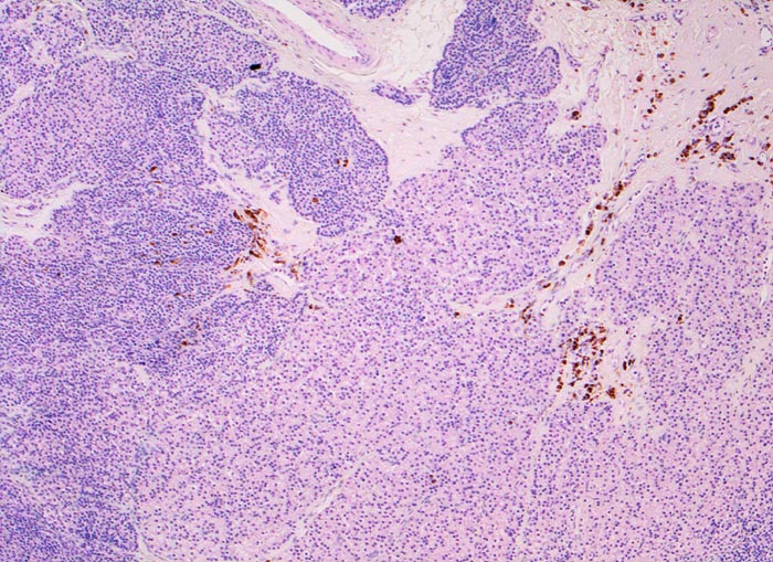
Beschreibung
Das Gewebe ist knotig strukturiert und enthält keine Fettzellen. In den Bindegewebssepten sind braun gefärbte Zellen nachweisbar, die siderinbeladenen Makrophagen entsprechen.
Klinik
Der Patient leidet an einer chronischen Niereninsuffizienz. Die glomeruläre Filtrationsrate ist auf 25% reduziert. Unter anderem ist eine Hypokalzämie und eine Hyperphosphatämie vorhanden. Die Serumkonzentration des Parathormons ist erhöht. Die Diagnose eines sekundären Hyperparathyreoidismus wird gestellt.
Bilder Typ
Histologie
Vergrösserung
50
Alter
62
Geschlecht
männlich
Datum
Ersteintrag: 06.07.2002