PathoPic – image database / PathoPic ID 3519 - Osteoidose bei Osteomalazie

de
Diagnose
Osteoidose bei Osteomalazie
Diagnose Gruppe
Systemerkrankung/Immunpathologie
Topographie
Knochenmark, Beckenkamm
Topographie Gruppe
Knochen, Knorpel, Gelenke
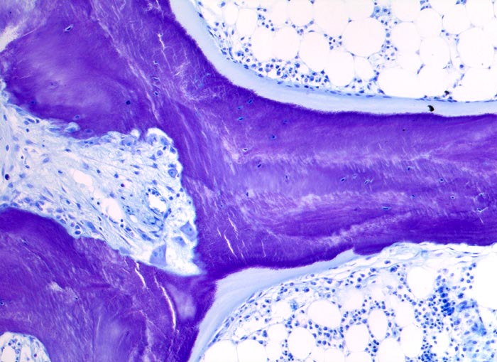
Beschreibung
Das Osteoid ist in seiner Oberflächenausdehnung und in seiner Breite vermehrt. Die Osteoidoberfläche wird von kubischen Osteoblasten austapeziert. Zusätzlich bestehen vermehrt Resorptionslakunen mit Osteoklasten und Resorptionslakunen.
Klinik
Diffuse Knochenschmerzen. Vermehrte Strahlentransparenz der Wirbelsäule. Chronische Pankreatitis und St.n. Billroth II Magenresektion. Kachexie, Muskelschwäche, tetanische Beschwerden.
Kommentar
Ein gleiches Bild könnte auftreten bei einem primären Hyperparathyreoidismus, bei einer renalen Osteopathie oder bei einem Zustand nach Fluoridmedikation auftreten. Histologisch kann lediglich eine Osteoidose diagnostiziert werden. Zusammen mit der klinischen Angabe kann in diesem Fall von einem Vitamin D Mangel (Osteomalazie) ausgegangen werden.
Bilder Typ
Histologie
Vergrösserung
100
Alter
52
Geschlecht
männlich
Datum
Ersteintrag: 17.12.2001