AP/ Diabetische noduläre Glomerulosklerose

Diagnose
Diabetische noduläre Glomerulosklerose
Diagnose Gruppe
Systemerkrankung/Immunpathologie
Differenzialdiagnose
Topographie Gruppe
Niere, Harnwege
Topographie
Niere
Einleitung
Aetiologie:
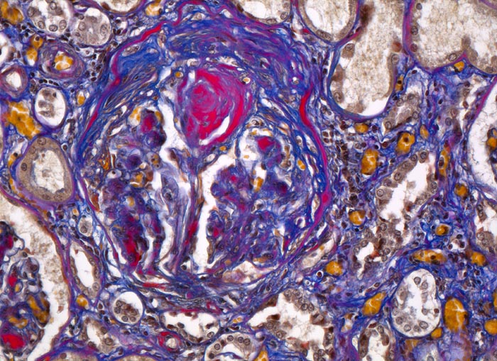
Die renale Mikroangiopathie bei Diabetes mellitus ist Folge einer Matrixstörung besonders charakterisiert durch eine Zunahme von Kollagen Typ IV in der mesangialen Matrix und in den Basalmembranen von Glomerula, Gefässen und Tubuli. 

Morphologie:
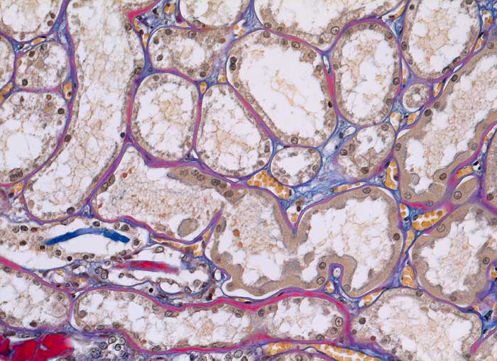
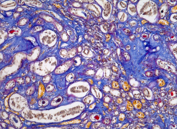
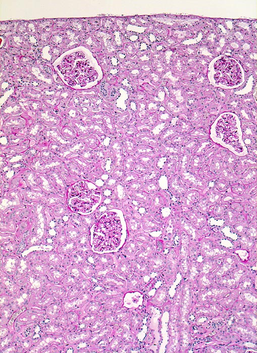
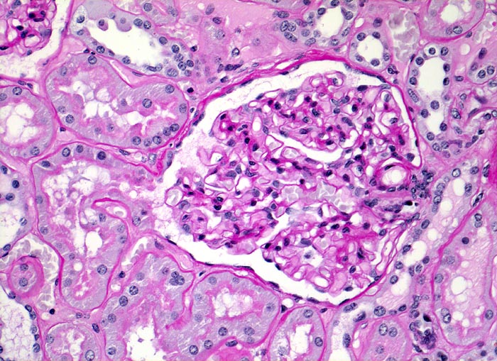
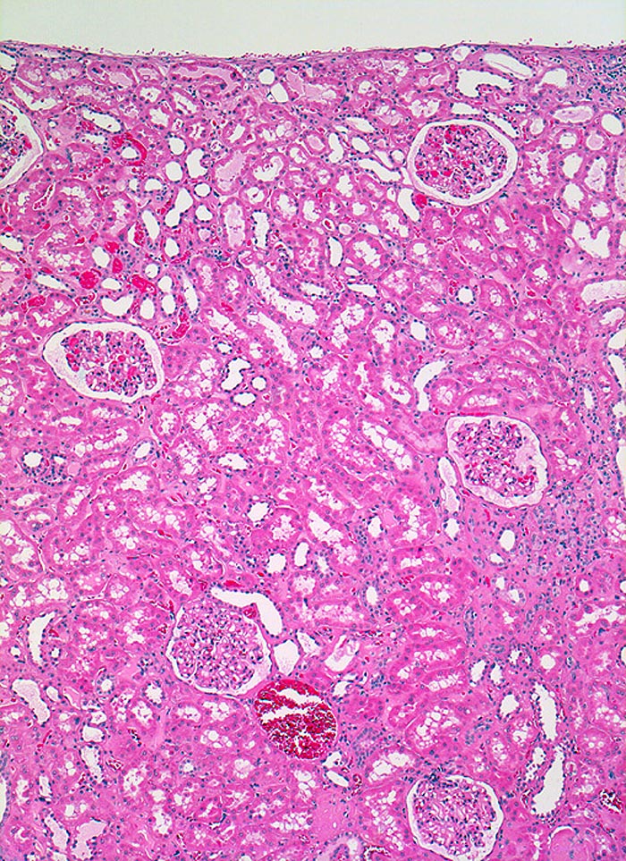
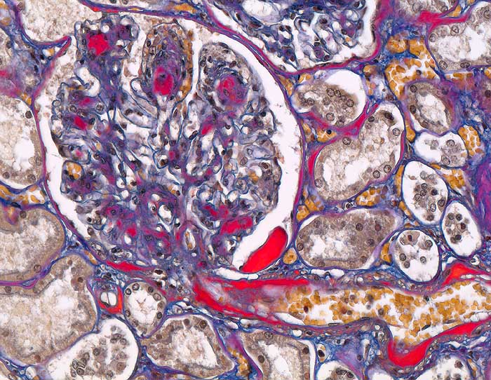
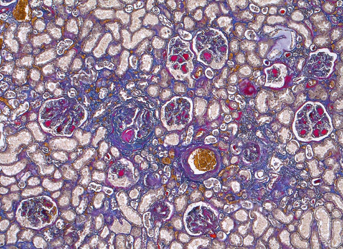
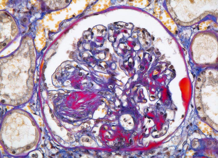
Im allgemeinen ist die Niere infolge von Glomerulumhypertrophie und Tubulushyperplasie vergrössert und derb, die Oberfläche ist granuliert. Bei schwerer Atherosklerose und fortgeschrittener Niereninsuffizienz kann die Niere auch normal gross oder verkleinert sein. Die Kombination von nodulärer Glomerulosklerose, hyalinen Schlingenkappen (=Proteinthromben in den Glomerulumschlingen (> 1916)) oder Kapseltropfen (> 1907) und Arteriolosklerose in Vas afferens und efferens ist beweisend für eine diabetische Nephropathie. Jede einzelne Läsion für sich genommen ist aber unspezifisch. Eine noduläre Glomerulosklerose kann auch vorkommen bei membranoproliferativer Glomerulonephritis (> 2652), Leichtkettenglomerulopathie oder Amyloidose (> 2019). Der nodulären Glomerulosklerose geht bei Diabetikern eine diffuse Glomerulosklerose (> 1906) voraus. Dabei zeigen die glomerulären Basalmembranen und das Mesangium eine progrediente gleichförmige Verbreiterung. Bei der nodulären und diffusen Glomerulosklerose handelt es sich aber wahrscheinlich um zwei pathogenetisch unterschiedliche, sich überlagernde Krankheitsbilder. Typisch bei Diabetikern ist im Unterschied zur arteriellen Hypertonie die Arteriolosklerose von Vas afferens und efferens (> 1911) und oft auch der Vasa recta. Intrarenale Arterien können eine Atherosklerose mit Atheromen zeigen. Subendotheliale Proteinablagerungen teilweise mit Verschluss der Glomerulumschlingen (Schlingenkappen) und knotige Proteinablagerungen in der Bowman'schen Kapselbasalmebran (Kapseltropfen) gehören zu den sogenannten exsudativen Läsionen (> 1919) (> 1920) der diabetischen Nephropathie und führen zu Synechien sowie zur globalen Glomerulosklerose. Gleichzeitig mit den Glomerulumveränderungen treten tubuläre Basalmembranverbreiterungen auf, später eine Tubulusatrophie und interstitielle Fibrose mit Begleitentzündung. Auch die Basalmembranen der peritubulären Kapillaren sind verdickt. 
Klinik
Vorkommen:
In entwickelten Ländern ist die diabetesassoziierte Nierenerkrankung (diabetische Nephropathie) die häufigste Ursache einer terminalen Niereninsuffizienz.
Die diabetische Nephropathie kommt beim Diabetes mellitus Typ I doppelt so häufig vor wie beim Typ II. Allerdings zeigen bei Autopsie nur 15% aller Diabetiker (30-50% aller Typ I Diabetiker) eine noduläre Glomerulosklerose. Die diabetische Nephropathie tritt meist mehr als 10 Jahre, gewöhnlich 15-20 Jahre nach Beginn des Diabetes mellitus auf. 

Symptomatik:
Vor Nachweis der klinischen Proteinurie besteht eine Mikroalbuminurie. Klinisch korreliert die Hyalinose des Mesangiums mit dem Ausmass der Albuminurie als Folge der progressiven Schädigung des glomerulären Filters. Bei 30% der Patienten steigert sich die Proteinurie zum nephrotischen Syndrom. Eine Hämaturie besteht bei 30% und eine arterielle Hypertonie bei 75%. Die Niereninsuffizienz entwickelt sich im allgemeinen innerhalb von 3-5 Jahren nach Auftreten einer konstanten Proteinurie. 80% werden innert 10 Jahren urämisch. 

Diagnose:
Die klinische Dia­gnose einer DNP ist eine Ausschlussdiagnose, da bei Patienten mit einem Diabetes mellitus differentialdiagnostisch auch eine nicht diabetische Nierenerkrankung oder eine Kombination mit einer DNP infrage kommt. Dies gilt insbesondere für Patienten, die einen Diabetes mellitus Typ 2 haben. Der Goldstandard zur Diagnose der diabetischen Nephropathie ist die Histologie.

Prognose:
Die diabetische Nephropathie rekurriert im Transplantat zum Teil bereits nach einem Jahr vor allem bei schlechter Stoffwechselkontrolle. Der Schweregrad der diffusen Glomerulosklerose, die interstitielle Fibrose und die Tubulusatrophie korrelieren am besten mit den klinischen Symtomen Proteinurie und Abnahme der glomerulären Filtrationsrate. 

Update 16. September 2021
Normalbefund
Morphologie
Morphologische Merkmale: 
  • Verbreiterung des Mesangiums mit Ausbildung von Knoten(noduläre Glomerulosklerose).
  • Exsudative Läsionen: Hyaline Schlingenkappen (Proteinthromben in Glomerulumschlingen, im virtuellen Präparat nicht sichtbar) und Kapseltropfen (Proteinablagerungen im Bowman’schen Kapselraum). 
  • Arteriolosklerose von Vas afferens und efferens (Gefässwandhyalinose durch Ablagerung von Plasmaproteinen und Lipiden in der Gefässwand). 
  • Intrarenale Atherosklerose. 
  • Verdickte Basalmembranen der peritubulären Kapillaren. 
  • Verbreiterung der tubulären Basalmembran. 
  • Tubulusatrophie mit interstitieller Fibrose und Begleitentzündung. 

Das sollte der Kliniker dem Pathologen mitteilen: 
  • Diabetestyp. 
  • Dauer der Erkrankung. 
  • Nierenfunktion. 
  • Proteinurie (Ausmass, Dauer). 
  • Hämaturie. 
  • Arterielle Hypertonie. 
  • Medikamenteneinnahme. 
Makroskopie
Befund
Pathologischer Befund
Normalbefund
Datum
Ersteintrag: 10.07.2019
Update: 16.09.2021