PathoPic – image database / PathoPic ID 4633 - Diabetische noduläre Glomerulosklerose Kimmelstiel-Wilson

de
Diagnose
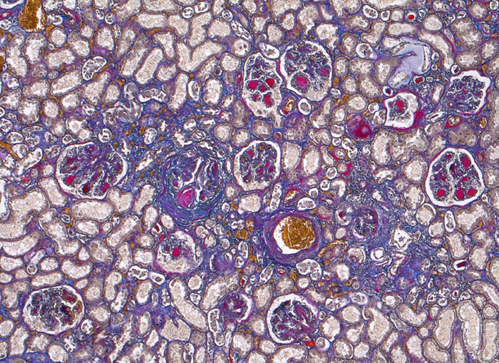
Diabetische noduläre Glomerulosklerose Kimmelstiel-Wilson
Diagnose Gruppe
Systemerkrankung/Immunpathologie
Topographie
Niere
Topographie Gruppe
Niere, Harnwege
Beschreibung
Alle Glomerula zeigen pathologische mesangiale (rote) azelluläre Proteinablagerungen, teils in knotiger, vereinzelt auch in diffuser Form. Bereits in dieser schwachen Vergrösserung ist die Arteriolosklerose erkennbar. Tubulointerstitieller Raum mit leichter Fibrose.
Klinik
Diabetes mellitus Typ II seit 20 Jahren.
Bilder Typ
Histologie
Vergrösserung
50
Alter
76
Geschlecht
unbekannt
Datum
Ersteintrag: 06.05.2002