Pathopic
HiPaKu
ZyPaKu
PathoBasic
PathoBasic Cytology
Quizzes
Projektinfos
PathoPic - Projekt- und Copyright-Info
About
Pathopic
HiPaKu
ZyPaKu
PathoBasic
PathoBasic Cytology
Quizzes
PathoPic – image database
/
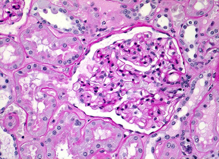
PathoPic ID 3443 - Normale Nierenrinde: Glomerulus mit Harnpol und Gefässpol.
de
Diagnose
Normale Nierenrinde: Glomerulus mit Harnpol und Gefässpol.
Diagnose Gruppe
Normalbefund
Topographie
Niere
Topographie Gruppe
Niere, Harnwege
Beschreibung
Unauffälliger Glomerulus mit
Harnpol (Hauptstück des proximalen Konvoluts) und
Gefässpol. Zarte glomeruläre Basalmembranen und normozelluläres Mesangium. Entzündungsfreier tubulointerstitieller Raum. Zarte tubuläre Basalmembranen.
Bilder Typ
Histologie
Vergrösserung
200
Alter
64
Geschlecht
männlich
Datum
Ersteintrag: 17.12.2001
Update: 28.03.2003
CPS
·
©
2024 Institut für Pathologie Basel
/
Dr. med. Katharina Glatz-Krieger
.
·
v2.1