PathoPic – image database / PathoPic ID 4637 - Diabetische Nephropathie

de
Diagnose
Diabetische Nephropathie
Diagnose Gruppe
Systemerkrankung/Immunpathologie
Topographie
Niere
Topographie Gruppe
Niere, Harnwege
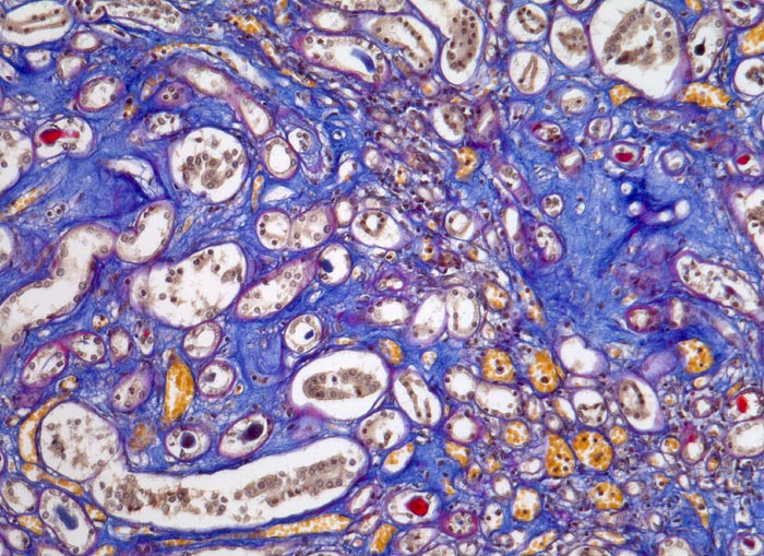
Beschreibung
Verbreiterung der tubulären Basalmembranen, Atrophie der Tubuli und ausgeprägte interstitielle Fibrose (blau).
Klinik
Diabetes mellitus Typ II seit 20 Jahren.
Kommentar
Die tubulointerstitiellen Veränderungen treten gleichzeitig mit den glomerulären Veränderungen auf. Meist findet sich auch eine interstitielle Begleitentzündung.
Bilder Typ
Histologie
Vergrösserung
125
Alter
76
Geschlecht
unbekannt
Datum
Ersteintrag: 06.10.2002