PathoPic – image database / PathoPic ID 6180 - Diabetische noduläre Glomerulosklerose Kimmelstiel-Wilson

de
Diagnose
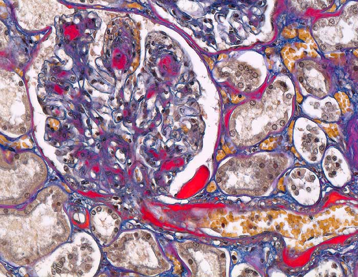
Diabetische noduläre Glomerulosklerose Kimmelstiel-Wilson
Diagnose Gruppe
Systemerkrankung/Immunpathologie
Topographie
Niere
Topographie Gruppe
Niere, Harnwege
Beschreibung
Arteriolosklerose von Vas afferens und efferens. Noduläre Mesangiumverbreiterung. Kapseltropfen im Bowman'schen Kapselraum.
Klinik
Diabetes mellitus Typ II seit 20 Jahren.
Bilder Typ
Histologie
Vergrösserung
200
Alter
76
Geschlecht
unbekannt
Datum
Ersteintrag: 26.01.2003
Update: 28.03.2003