PathoPic – image database / PathoPic ID 1916 - Noduläre diabetische Glomerulosklerose Kimmelstiel-Wilson

de
Diagnose
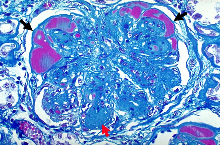
Noduläre diabetische Glomerulosklerose Kimmelstiel-Wilson
Diagnose Gruppe
Systemerkrankung/Immunpathologie
Topographie
Niere
Topographie Gruppe
Niere, Harnwege
Beschreibung
Die Mesangiumarelae sind knotig verdickt. Die Knoten zeigen eine angedeutete Schichtung. Die peripheren Glomerulusschlinge sind hochgradig eingeengt. In Gefässpolnähe werden sie von Proteinthromben ausgefüllt (Exsudative Läsion).
Bilder Typ
Histologie
Geschlecht
weiblich
Datum
Ersteintrag: 11.01.2002