PathoPic – image database / PathoPic ID 2652 - Membranoproliferative Glomerulonephritis: lobuläre Variante

de
Diagnose
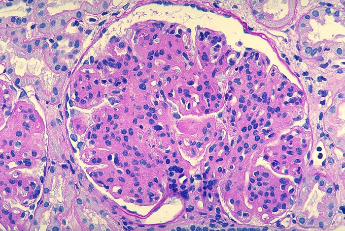
Membranoproliferative Glomerulonephritis: lobuläre Variante
Diagnose Gruppe
Entzündung / Reparatur
Topographie
Niere
Topographie Gruppe
Niere, Harnwege
Beschreibung
Starke mesangiale Sklerose und ausgeprägte mesangiale Hyperzellularität. Die peripheren Kapillarwände sind stark verdickt. Stellenweise lässt sich eine mesangiale Interposition vermuten. Im Zentrum finden sich Kapillarschlingen, die durch plumpe Proteindepots nahezu vollständig verschlossen sind.
Kommentar
Phasischer Ablauf:
Initial finden sich in den Schlingen subendotheliale Immundepots begleitet von gelapptkernigen Leukozyten und Monozyten.
Mit Abnahme der endokapillären Hyperzellularität kommt es zu einer mesangialen Zellproliferation mit Auswandern der Mesangiumzellen in die Peripherie und Neubildung einer Basalmembran (mesangiale Interposition).
Schliesslich verschwinden die subendothelialen Depots, die neugebildete Basalmembran wird dicker, die Mesangiumzellzahl nimmt ab und die mesangiale Sklerose zu.
Bilder Typ
Histologie
Geschlecht
weiblich
Datum
Ersteintrag: 14.03.2002