AP/ Oligodendrogliom (WHO Grad II)

Diagnose
Oligodendrogliom (WHO Grad II)
Diagnose Gruppe
benigner Tumor
Differenzialdiagnose
Topographie Gruppe
Nervensystem
Topographie
Hirn frontal
Einleitung
Histogenese:
Oligodendrogliome sind gliale Hirntumoren.

Vorkommen:
Oligodendrogliome machen weniger als 5% aller primären Hirntumoren aus.

Lokalisation:
Die meisten Tumoren sind solitär und kortikal oder subkortikal in einer Grosshirnhemisphäre lokalisiert, am häufigsten frontal. Gelegentlich können sie primär intraventrikulär auftreten.

Morphologie:
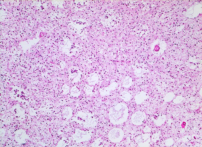
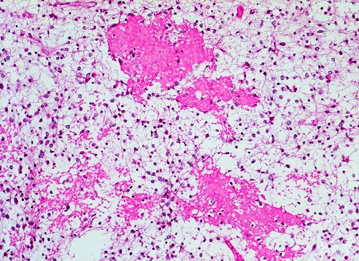
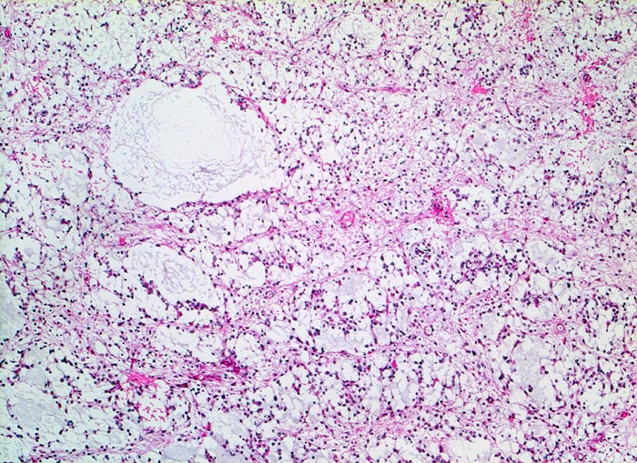
Makroskopisch sind die Tumoren gut begrenzt, solide und graurosa. Fokale Verkalkungen sind häufig, Nekrosen und zystische Degeneration können vorkommen. Intratumorale Einblutungen sind oft vorhanden und können die Todesursache darstellen.
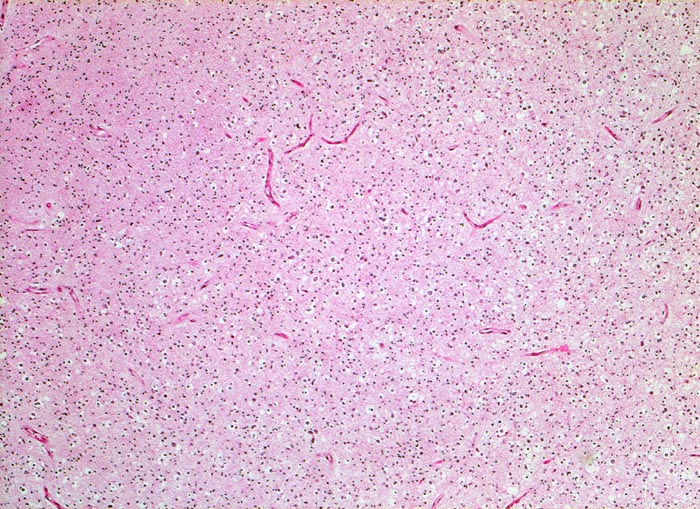
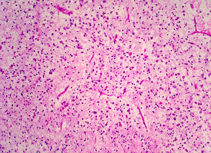
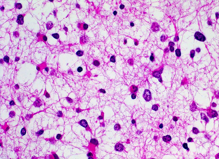
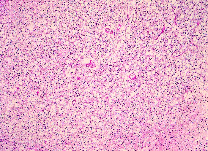
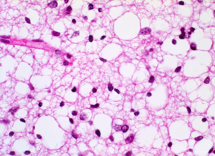
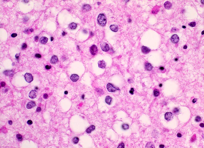
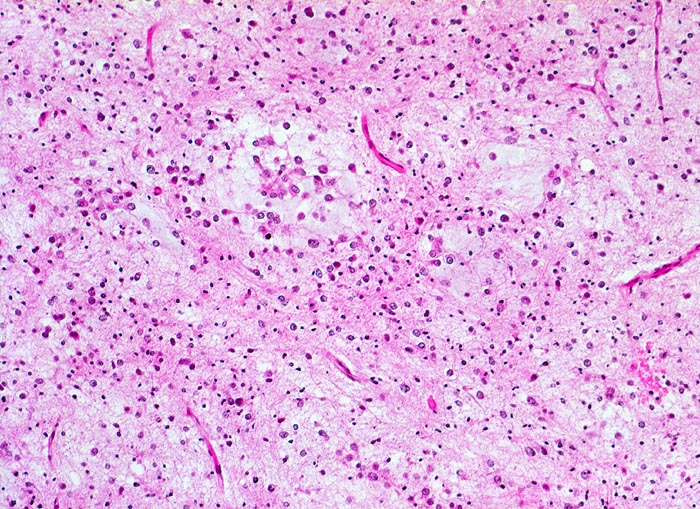
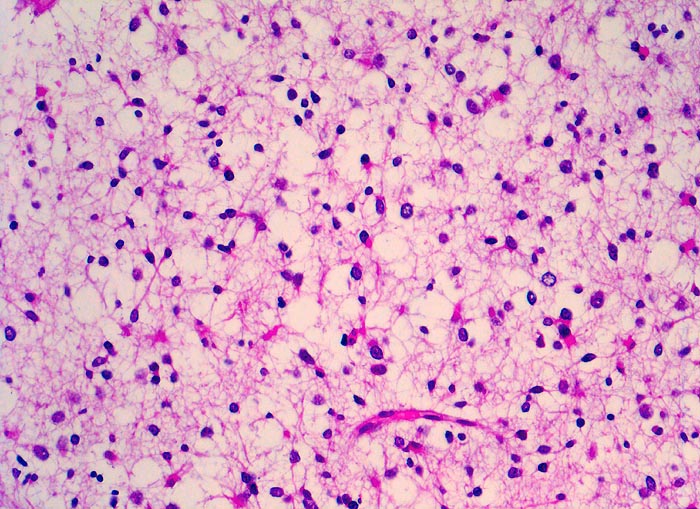
Histologisch bestehen die Oligodendrogliome aus kompakten Aggregaten runder Zellen mit deutlichen Zellgrenzen und klarem Zytoplasmasaum um einen dichten runden zentralen Kern (“Spiegelei”). Die Vakuolisierung des Zytoplasma stellt einen Fixationsartefakt dar und fällt bei Schnellschnitten als diagnostisches Hilfsmittel weg (Gefrierschnitt!). Charakteristisch sind verzweigte Kapillaren. Die Tumorzellen infiltrieren die Hirnrinde diffus und können sich bis in die Meningen ausbreiten.
Oligodendrogliome können Anteile eines Astrozytoms enthalten (Oligoastrozytom). Die Unterscheidung von reaktiven und neoplastischen Astrozyten ist im Einzelfall jedoch sehr schwierig. Oligodendrogliome umfassen ein kontinuierliches histologisches Spektrum von hoch differenzierten (WHO Grad II) bis anaplastischen malignen Tumoren (WHO Grad III). Indikatoren für das Vorliegen eines anaplastischen Oligodendroglioms sind zahlreiche Mitosen, ausgeprägte mikrovaskuläre Proliferationen und Tumornekrosen.
Klinik
Vorkommen:
Oligodendrogliome kommen in jeder Altersgruppe vor. Das mittlere Alter bei Diagnosestellung beträgt 40-50 Jahre. Männer sind doppelt so oft betroffen.

Symptomatik:
In der Hälfte der Fälle führt ein epileptischer Anfall zur Diagnosestellung und bis zu 80% der Patienten erleiden im Verlauf der Erkrankung epileptische Anfälle.

Diagnostik:
Die Tumoren erscheinen im T1 gewichteten MRI hypointens oder gemischt hypo- und hyperintens. Im T2 gewichteten MRI erscheinen sie hyperintens mit oder ohne umgebendes Ödem. Das hoch differenzierte Oligodendrogliom zeigt nach Kontrastmitteladministration im Gegensatz zum anaplastischen keine Anreicherung. Die definitive Diagnose wird an der stereotaktisch oder offen gewonnenen Biopsie erhoben.

Therapie:
Die Behandlungsstrategie reicht von konservativem Abwarten mit wiederholten radiologischen Untersuchungen bis zur aggressiven multimodalen Therapie einschliesslich Resektion, Radiotherapie und Chemotherapie. Das Ansprechen auf Chemotherapie eines Teils von reinen Oligodendrogliomen aber auch von Oligoastrozytomen macht es erforderlich, dass in der Biopsie eines astrozytären Tumors sorgfältig nach therapierbaren oligodendroglialen Anteilen gesucht wird. Da die meisten Patienten epileptische Anfälle haben oder solche im Verlauf entwickeln, wird eine antikonvulsive Therapie bei allen Patienten empfohlen.

Prognose:
Morbitität und Mortalität sind deutlich geringer als bei astrozytären Tumoren, wobei die Prognose auch von der Lokalisation des Tumors abhängt. Das mittlere Uberleben bei WHO Grad II Tumoren beträgt 4-10 Jahre, bei anaplastischen Tumoren 3-4 Jahre.
Morphologie
Morphologische Merkmale:
  • Fokale mukoide/zystische Degeneration innerhalb des Tumors mit Ausbildung von Pseudozysten.
  • Dichtes Netzwerk verzweigender Kapillaren.
  • Tumorzellen umgeben von einem Halo ("Spiegeleier").
  • Die Tumorzellen erinnern an Oligodendrozyten der weissen Substanz, haben aber deutlich grössere Kerne.
  • Im Gegensatz zum Glioblastoma multiforme monomorphes Zellbild.
Das sollte der Kliniker dem Pathologen mitteilen:
  • Radiologischer Befund.
  • Durchgeführte Therapien.
Makroskopie
Virtuelles Präparat
Befund
Pathologischer Befund
Normalbefund
Datum
Ersteintrag: 15.04.2010
Update: 15.04.2010