Pathopic
HiPaKu
ZyPaKu
PathoBasic
PathoBasic Cytology
Quizzes
Projektinfos
PathoPic - Projekt- und Copyright-Info
About
Pathopic
HiPaKu
ZyPaKu
PathoBasic
PathoBasic Cytology
Quizzes
PathoPic – image database
/
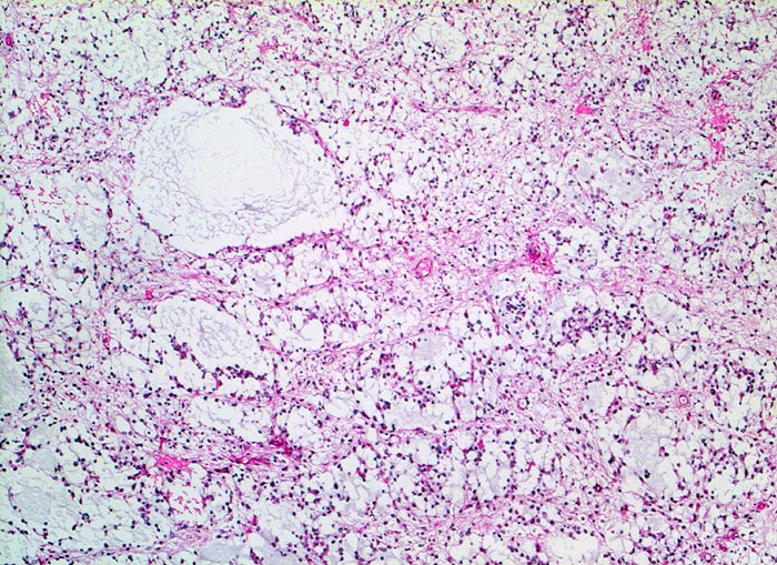
PathoPic ID 5256 - Oligodendrogliom (WHO Grad II)
de
Diagnose
Oligodendrogliom (WHO Grad II)
Diagnose Gruppe
maligner Tumor
Topographie
Hirn frontal
Topographie Gruppe
Nervensystem
Beschreibung
Fokale mukoide/zystische Degeneration innerhalb des Tumors mit Ausbildung von
Pseudozysten.
Klinik
Kopfschmerzen und epileptische Anfälle seit zwei Jahren.
Bilder Typ
Histologie
Vergrösserung
50
Alter
59
Geschlecht
männlich
Datum
Ersteintrag: 06.10.2002
CPS
·
©
2024 Institut für Pathologie Basel
/
Dr. med. Katharina Glatz-Krieger
.
·
v2.1