PathoPic – image database / PathoPic ID 5255 - Oligodendrogliom (WHO Grad II)

de
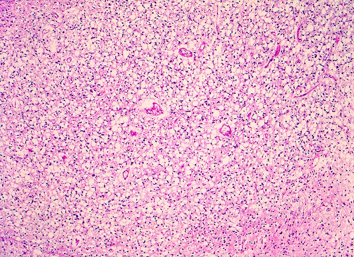
Diagnose
Oligodendrogliom (WHO Grad II)
Diagnose Gruppe
maligner Tumor
Topographie
Hirn frontal
Topographie Gruppe
Nervensystem
Beschreibung
Tumorzellen mit kleinen Kernen umgeben von einem Halo (Fixationsartefakt)
Klinik
Kopfschmerzen und epileptische Anfälle seit zwei Jahren.
Bilder Typ
Histologie
Vergrösserung
50
Alter
59
Geschlecht
männlich
Datum
Ersteintrag: 05.08.2002