PathoPic – image database / PathoPic ID 5254 - Oligodendrogliom (WHO Grad II)

de
Diagnose
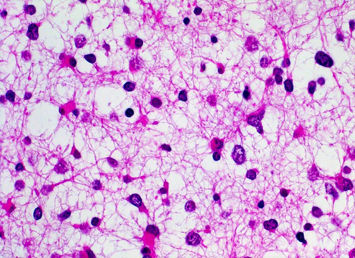
Oligodendrogliom (WHO Grad II)
Diagnose Gruppe
maligner Tumor
Topographie
Hirn frontal
Topographie Gruppe
Nervensystem
Beschreibung
Tumorzellen mit rundlichen Kernen und geschwollenem klarem Zytoplasma
Klinik
Kopfschmerzen und epileptische Anfälle seit zwei Jahren.
Bilder Typ
Histologie
Vergrösserung
400
Alter
59
Geschlecht
männlich
Datum
Ersteintrag: 05.08.2002