Pathopic
HiPaKu
ZyPaKu
PathoBasic
PathoBasic Cytology
Quizzes
Projektinfos
PathoPic - Projekt- und Copyright-Info
About
Pathopic
HiPaKu
ZyPaKu
PathoBasic
PathoBasic Cytology
Quizzes
PathoPic – image database
/
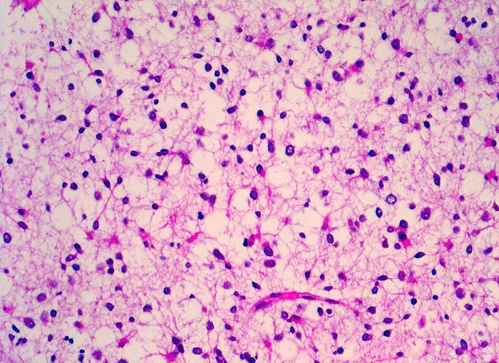
PathoPic ID 5253 - Oligodendrogliom (WHO Grad II)
de
Diagnose
Oligodendrogliom (WHO Grad II)
Diagnose Gruppe
maligner Tumor
Topographie
Hirn frontal
Topographie Gruppe
Nervensystem
Beschreibung
Tumorzellen mit klarem Zytoplasma
Klinik
Kopfschmerzen und epileptische Anfälle seit zwei Jahren.
Bilder Typ
Histologie
Vergrösserung
200
Alter
59
Geschlecht
männlich
Datum
Ersteintrag: 05.08.2002
CPS
·
©
2024 Institut für Pathologie Basel
/
Dr. med. Katharina Glatz-Krieger
.
·
v2.1