PathoPic – image database / PathoPic ID 5258 - Oligodendrogliom (WHO Grad II)

de
Diagnose
Oligodendrogliom (WHO Grad II)
Diagnose Gruppe
maligner Tumor
Topographie
Hirn frontal
Topographie Gruppe
Nervensystem
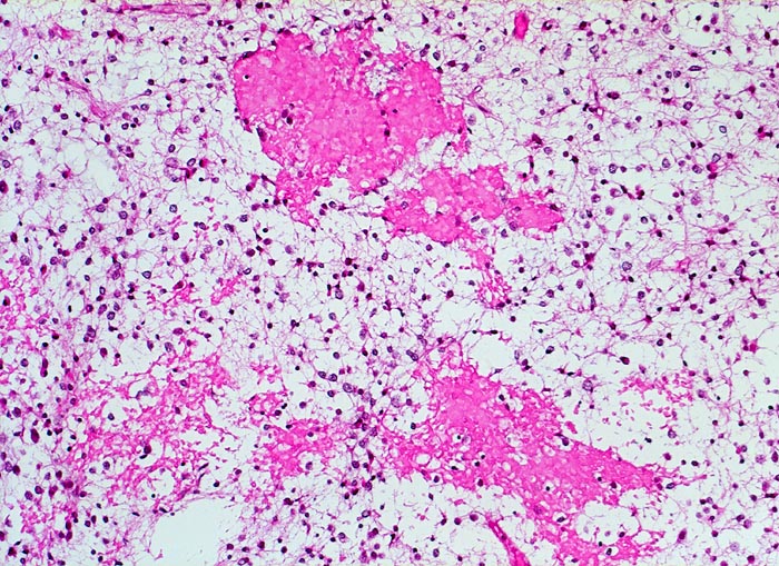
Beschreibung
Frische Einblutungen
Klinik
Kopfschmerzen und epileptische Anfälle seit zwei Jahren.
Kommentar
Oligodendrogliome zeigen häufig Einblutungen
Bilder Typ
Histologie
Vergrösserung
100
Alter
59
Geschlecht
männlich
Datum
Ersteintrag: 05.08.2002