AP/ Fibrinöse Perikarditis

Diagnose
Fibrinöse Perikarditis
Diagnose Gruppe
Entzündung / Reparatur
Differenzialdiagnose
Topographie Gruppe
Körperhöhlen, Serosa
Topographie
Perikard
Einleitung
Definition:
Unter dem Begriff Perikarditis werden alle entzündlichen Veränderungen des Herzbeutels unabhängig von ihrer Ätiologie zusammengefasst. Die Einteilung der Perikarditiden kann nach morphologischen (Zusammensetzung des Exsudates) und ätiologischen Kriterien erfolgen.

Aetiologie:
Ätiologisch unterscheidet man folgende Formen: infektiöse Perikarditis, Perikarditis bei Stoffwechselerkrankung (Urämie, diabetische Ketoazidose), Perikarditis bei Kollagenose, autoimmunologische Perikarditis (Dressler Syndrom nach Myokardinfarkt), reaktive Perikarditis (Myokardinfarkt, Myokarditis), Tumor (primär oder Metastasen), Perikarditis bei physikalischen Schäden (Trauma, Bestrahlung). Bei einer autoptisch festgestellen Perikarditis sollte ein bakteriologischer Abstrich abgenommen werden. Am häufigsten ist die seröse oder serofibrinöse Perikarditis, die auftritt bei akutem Myokardinfarkt, Urämie, Bestrahlung, chronischer Polyarthritis, systemischem Lupus erythematodes, Trauma, schweren Infektionen und nach operativen Eingriffen am Herz.
Selten ist eine primäre isolierte idiopathische Perikarditis selbständiges Krankheitsbild. Sekundär kommt eine Perikarditis als Folge einer Vielzahl von Erkrankungen vor.

Morphologie:
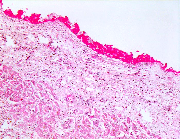
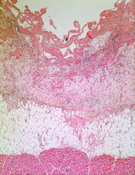
Morphologisch unterscheidet man folgende Formen: seröse Perikarditis (rheumatisches Fieber, Virusinfekt, Kollagenosen), fibrinöse Perikarditis (Urämie, rheumatisches Fieber, Myokardinfarkt), eitrige Perikarditis (Bakterien, Pilze, Parasiten), hämorrhagische Perikarditis (> 71) (Tumor, Tuberkulose, Trauma, Urämie), konstriktive Perikarditis (Bakterien, Tuberkulose). Im frühen Stadium ist das Perikard hyperämisch und erscheint herdförmig matt (> 296). Bei einer serofibrinösen Entzündung liegen gelbweisse netzförmig verzweigte Fäden oder Zotten von Fibrin auf parietalem und viszeralem (=Epikard) Blatt des Perikard. Anfänglich sind die Beläge gut abstreifbar. Nach einigen Tagen haftet das Fibrin auf der Unterlage als Folge der Organisation durch Granulationsgewebe. Als Folge dieser Organisationsvorgänge können die Perikardblätter miteinander verkleben und verwachsen.

Komplikationen:
Die bindegewebige Organisation einer Perikarditis kann die diastolische Füllung behindern, Vorhöfe und Venen komprimieren. Klinisch äussert sich dies als rechtskardiale Stauungsinsuffizienz. Die Perikardhöhle enthält normalerweise etwa 20ml seröse Flüssigkeit mit ähnlicher Zusammensetzung wie Plasma. Eine Entzündung des Perikards kann zu einer zusätzlichen Flüssigkeitsansammlung führen. Eine Zunahme des Perikardinhalts auf über 150ml kann eine Druckerhöhung im Perikardraum mit vermindertem Auswurf und einer Hypotension (Herzbeuteltamponade) zur Folge haben. Der hämodynamische Effekt wird wesentlich durch die Geschwindigkeit der Flüssigkeitsansammlung bestimmt. Am häufigsten ist diese Komplikation bei Tumoren zu beobachten.
Klinik
Vorkommen:
Die Häufigkeit der Perikarditis in Autopsiestatistiken liegt bei 4-6%.

Symptomatik:
Das häufigste Symptom einer akuten Perikarditis ist präkordialer oder retrosternaler scharfer Schmerz mit Ausstrahlung in den Rücken, den Nacken, die linke Schulter oder den Arm. Der Schmerz wird beim Einatmen und durch Bewegen verstärkt. Am geringsten sind die Schmerzen in sitzender nach vorn gebeugter Haltung. Die Perikarditis kann sich auch mit Abdominalschmerzen äussern. Häufig assoziiert ist intermittierendes geringes Fieber, Dyspnoe, Husten und Dysphagie.

Diagnostik:
Bei 50% der Patienten ist ein Perikardreiben über der Herzspitze oder am linken unteren Sternalrand auskultierbar. Im Unterschied zu einem Herzgeräusch ändert sich der Charakter des Perikardreibens von Herzschlag zu Herzschlag und bei Positionswechseln. Am besten hört man es am vornübergebeugten Patienten. Gestaute Halsvenen, Hypotension, Pulsus paradoxus, Zyanose, wechselnde Bewusstseinsstörungen und ein abgeschwächtes Herzgeräusch deuten auf eine zusätzliche Tamponade hin.
Das Perikard kann sonographisch normal sein oder einen Erguss zeigen. Das EKG kann bei akuter Perikarditis diagnostische Veränderungen zeigen, welche über 4 Stadien ablaufen. Pathognomonisch ist ein elektrischer Alternans charakterisiert durch schwankende Höhen von P Welle, QRS Komplex und T Wellen, wenn sich das Herz innerhalb eines grossen Ergusses hin und herbewegt.

Therapie:
Wenn ein Erguss vorhanden ist, sollten die Patienten unter Beobachtung bleiben. Grosse Ergüsse bei stabilen Patienten können punktiert werden. Bei idiopathischer oder viraler Perikarditis erfolgt die Therapie symptomatisch.

Prognose:
Bei 15-30% der Patienten tritt ein Rezidiv auf. Die Prognose hängt ab von der Ätiologie und vom Vorhandensein eines Ergusses oder einer Tamponade.
Morphologie
Morphologische Merkmale:
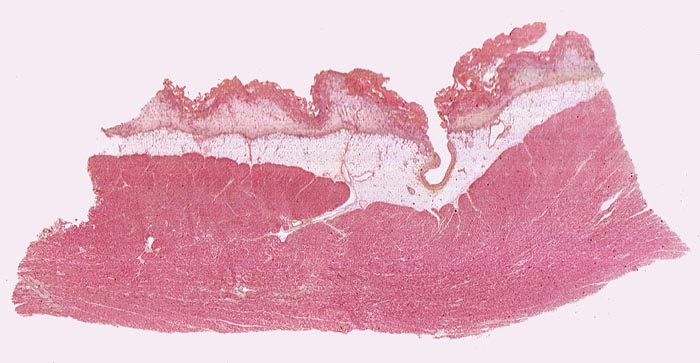
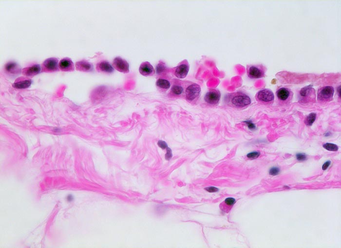
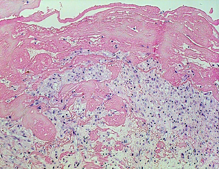
  • Dem epikardialen Fettgewebe aufgelagerte zottenförmige Fibrinfäden.
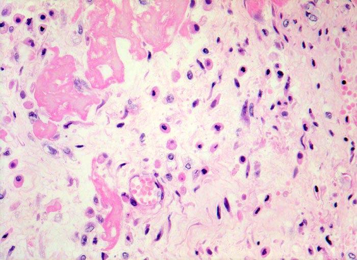
  • Daran angrenzend ödematöse Granulationsgewebszone mit Histiozyten, Fibroblasten und Gefässen (Organisation des Fibrins).
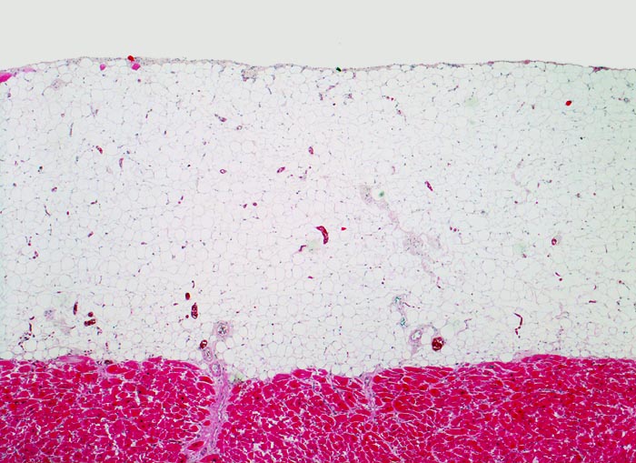
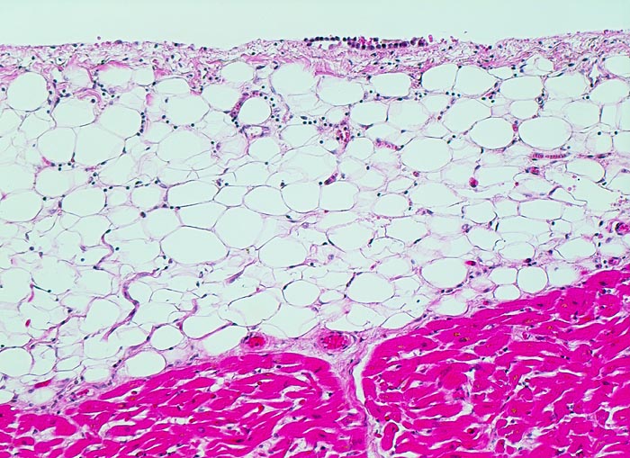
  • Unterhalb der Granulationsgewebszone epikardiales Fettgewebe auf unverändertem Myokard.
  • Eingebettet in das epikardiale Fettgewebe ein Koronararterienast (Querschnitt).
Makroskopie
Befund
Pathologischer Befund
Normalbefund
Datum
Ersteintrag: 17.11.2018
Update: 17.11.2018