PathoPic – image database / PathoPic ID 4311 - Normales Epikard

de
Diagnose
Normales Epikard
Diagnose Gruppe
Normalbefund
Topographie
Perikard
Topographie Gruppe
Körperhöhlen, Serosa
Beschreibung
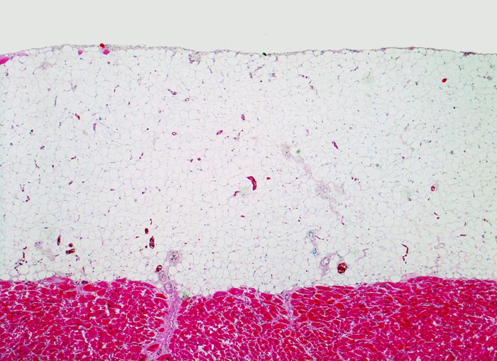
Das einschichtige Mesothel ist in dieser Vergrösserung nicht erkennbar. Auf eine schmale subepitheliale Stromaschicht folgt das epikardiale Fettgewebe, welches beim individuellen Patienten sehr unterschiedlich dick sein kann. Unten im Bild das Myokard.
Bilder Typ
Histologie
Vergrösserung
25
Alter
75
Geschlecht
männlich
Datum
Ersteintrag: 05.04.2002