PathoPic – image database / PathoPic ID 4310 - Normales Epikard

de
Diagnose
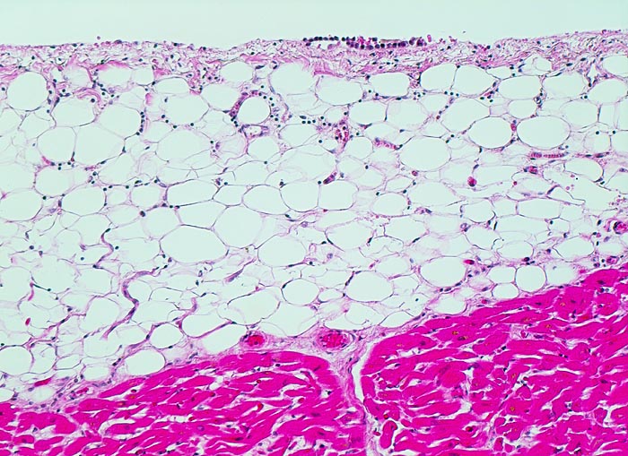
Normales Epikard
Diagnose Gruppe
Normalbefund
Topographie
Perikard
Topographie Gruppe
Körperhöhlen, Serosa
Beschreibung
Das Epikard bildet das innere viszerale Blatt des Perikards. Auf ein einschichtiges Mesothel folgt ein bindegewebiges subepitheliales Stroma und das epikardiale Fettgewebe. Die Mesothelzellschicht ist nur auf einem kurzen Abschnitt erhalten. Unten im Bild der Herzmuskel.
Bilder Typ
Histologie
Vergrösserung
100
Alter
75
Geschlecht
männlich
Datum
Ersteintrag: 05.04.2002