PathoPic – image database / PathoPic ID 4531 - fibrinöse Perikarditis

de
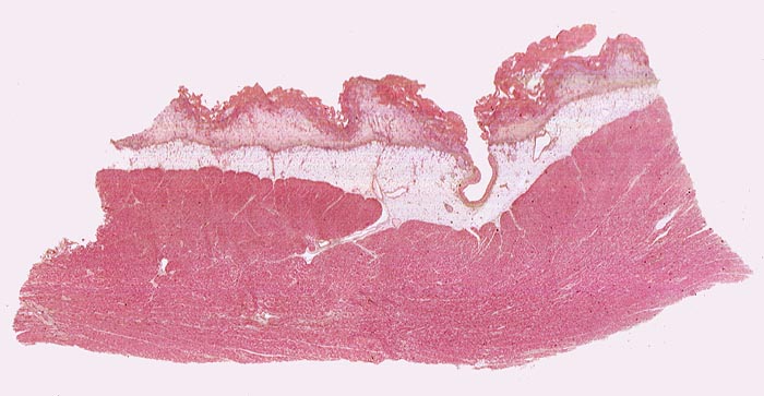
Diagnose
fibrinöse Perikarditis
Diagnose Gruppe
Entzündung / Reparatur
Topographie
Perikard
Topographie Gruppe
Körperhöhlen, Serosa
Beschreibung
Das Epikard (innere Schicht des Perikardblattes) ist bedeckt von einer zottigen Fibrinschicht. Gegen innen folgt eine Granulationsgewebsschicht, welche das Fibrin organisiert, gefolgt vom epikardialen Fettgewebe und vom Myokard. Ehemalige Lokalisation der Perikardoberfläche (einschichtiges Mesothel). Koronararterienast im epikardialen Fettgewebe.
Klinik
Patientin verstorben in Urämie.
Bilder Typ
Histologie
Vergrösserung
Scan
Alter
87
Geschlecht
unbekannt
Datum
Ersteintrag: 15.04.2002
Update: 08.12.2003