Pathopic
HiPaKu
ZyPaKu
PathoBasic
PathoBasic Cytology
Quizzes
Projektinfos
PathoPic - Projekt- und Copyright-Info
About
Pathopic
HiPaKu
ZyPaKu
PathoBasic
PathoBasic Cytology
Quizzes
PathoPic – image database
/
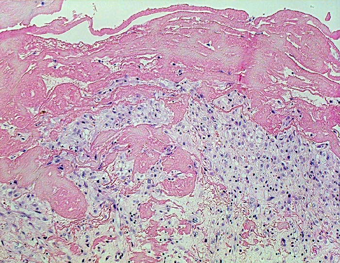
PathoPic ID 4534 - fibrinöse Perikarditis
de
Diagnose
fibrinöse Perikarditis
Diagnose Gruppe
Entzündung / Reparatur
Topographie
Perikard
Topographie Gruppe
Körperhöhlen, Serosa
Beschreibung
Ein Teil des
Fibrins liegt dem Epikard auf, ein
Teil ist bereits inkorporiert in das organisierende Granulationsgewebe.
Klinik
Patientin verstorben in Urämie.
Bilder Typ
Histologie
Vergrösserung
100
Alter
87
Geschlecht
unbekannt
Datum
Ersteintrag: 15.04.2002
CPS
·
©
2024 Institut für Pathologie Basel
/
Dr. med. Katharina Glatz-Krieger
.
·
v2.1