Pathopic
HiPaKu
ZyPaKu
PathoBasic
PathoBasic Cytology
Quizzes
Projektinfos
PathoPic - Projekt- und Copyright-Info
About
Pathopic
HiPaKu
ZyPaKu
PathoBasic
PathoBasic Cytology
Quizzes
PathoPic – image database
/
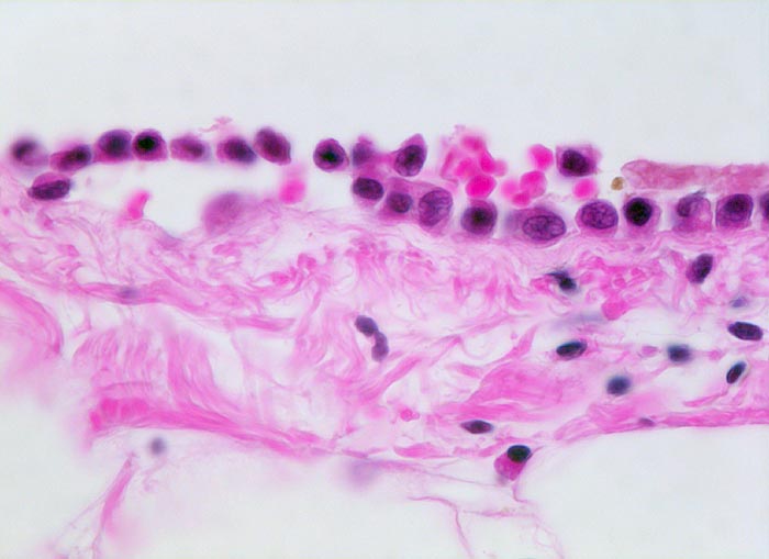
PathoPic ID 4308 - Normales Epikard
de
Diagnose
Normales Epikard
Diagnose Gruppe
Normalbefund
Topographie
Perikard
Topographie Gruppe
Körperhöhlen, Serosa
Beschreibung
Einschichtiges kubisches Mesothel mit kollagenfasriger Stromaunterlage.
Bilder Typ
Histologie
Vergrösserung
630
Alter
75
Geschlecht
männlich
Datum
Ersteintrag: 05.04.2002
CPS
·
©
2024 Institut für Pathologie Basel
/
Dr. med. Katharina Glatz-Krieger
.
·
v2.1