AP/ Adenokarzinom des Magens

Diagnose
Adenokarzinom des Magens
Diagnose Gruppe
maligner Tumor
Differenzialdiagnose
Topographie Gruppe
Oesophagus, Magen
Topographie
Magenkorpus
Einleitung
Histogenese:
Adenokarzinome machen 90-95% aller Magenkarzinome aus. Am zweithäufigsten sind Lymphome (> 2885) (> 2892). Alle übrigen Tumortypen sind selten (gastrointestinale Stromatumoren (> 1298), Neuroendokrine Tumoren (> 2102) (> 2067), Adenosquamöse Karzinome, Plattenepithelkarzinome).

Morphologie:
Makroskopisch können nach Borrmann (> 5050) polypoide Tumoren, ulzerierte Tumoren mit Randwall, ulzerierte Tumoren mit Invasion der Magenwand und diffus infiltrierende Tumoren (=Linitis plastica (> 3315)) unterschieden werden.
Die ersten beiden Typen entsprechen histologisch meist einem intestinalen Typ nach Lauren (> 1342). Diese Tumoren sind scharf begrenzt, bilden tubuläre oder papilläre Strukturen wie die Dickdarmkarzinome, sind meist assoziiert mit bekannten umweltbedingten Risikofaktoren und haben eine bessere Prognose.
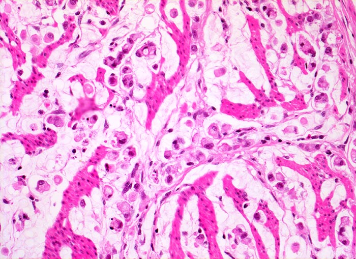
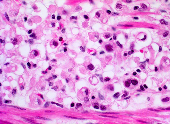
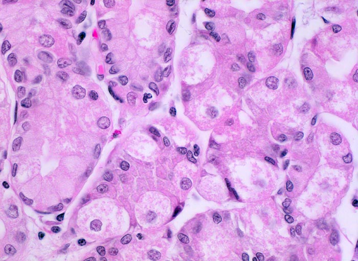
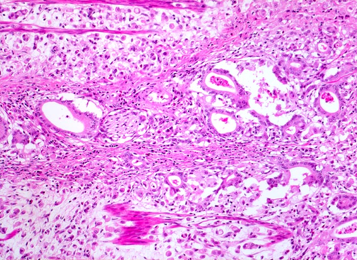
Beim diffusen Typ nach Lauren infiltrieren Einzelzellen oder Zellstränge, meist mit Siegelringzellanteilen diffus die Magenwand. Eine Drüsenbildung ist nicht erkennbar. Dieser Tumortyp tritt bei relativ jungen Patienten auf und ist mit genetischen Faktoren assoziiert (positive Familienanamnese). Wegen des diffus infiltrativen Wachstums ohne makroskopisch sicher erkennbare Grenze müssen diese Tumoren mit einem grösseren Sicherheitsabstand operiert werden. Siegelringkarzinome machen rund 20% aller Magenkarzinome aus.
Adenokarzinome können tubuläre, papilläre, muzinöse, siegelringzellige und undifferenzierte Anteile aufweisen, wobei die beiden letzteren besonders aggressive Tumoren darstellen.
Klinik
Vorkommen:
In der Schweiz treten jährlich über 1000 neue Fälle von Magenkarzinomen auf. Die Inzidenz bei Männern beträgt 21:100'000 und bei Frauen 10:100'000.

Therapie:
Viele Patienten mit Siegelringkarzinomen haben bei Diagnosestellung bereits Fernmetastasen (Leber, Lunge), Peritonealkarzinose oder eine Infiltration von Nachbarorganen. In dieser palliativen Situation kann eine Bestrahlung durchgeführt werden oder ein palliativer chirurgischer Eingriff (lokale Exzision, partielle oder totale Gastrektomie, Gastroenteroanastomose) mit dem Ziel, die orale Nahrungsaufnahme zu erhalten und Blutungen sowie Schmerzen zu verhindern. Aufgrund der unscharfen Tumorbegrenzung und der oft diffusen Tumorausbreitung unter makroskopisch unauffälliger Schleimhaut (> 3321) ergibt sich bei kurativ operablen Tumoren die Notwendigkeit eines 8-10 cm breiten Sicherheitsabstandes.
Morphologie
Morphologische Merkmale:
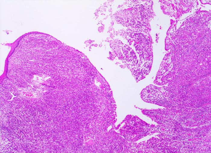
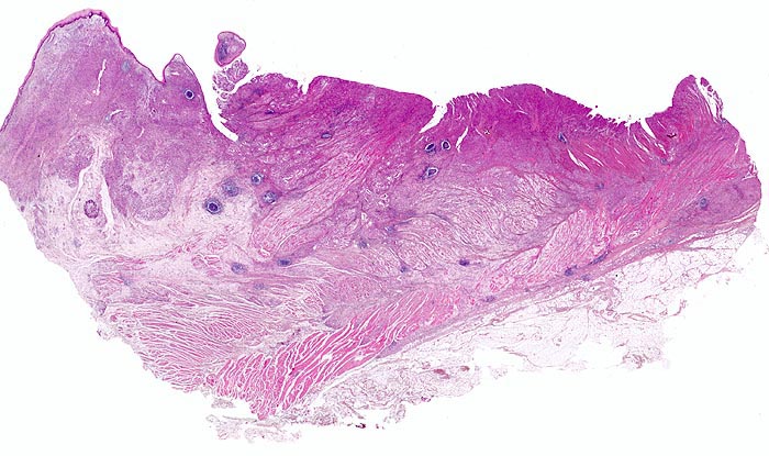
  • Gewebsfragment aus gastroösophagealem Übergang.
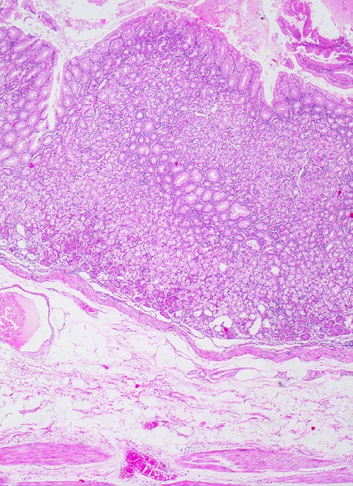
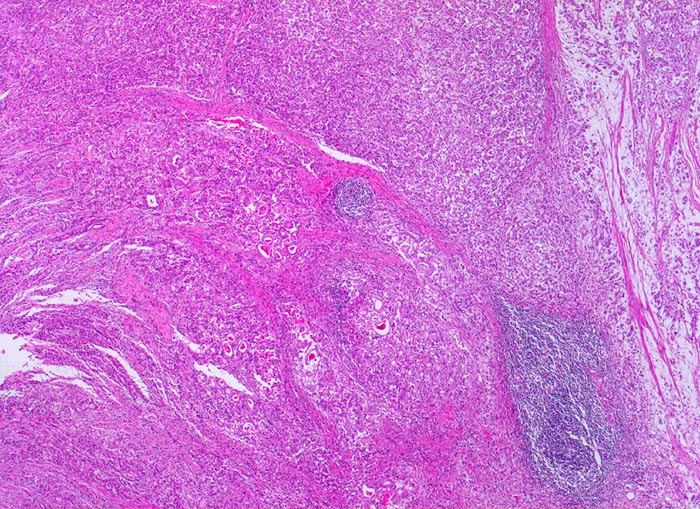
  • Das unscharf begrenzte Karzinom breitet sich diffus in der gesamten Magenwand und in der Ösophaguswand aus bis in des periösophageale und subseröse Fettgewebe.
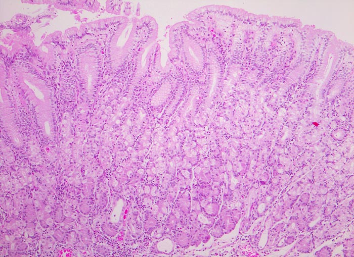
  • Ösophagus mit intaktem plattenepithelialem Schleimhautüberzug.
  • Ein Grossteil des Tumorinfiltrats besteht aus einzeln oder in kleinen Gruppen liegenden Zellen mit intrazytoplasmatischen Schleimvakuolen, die teilweise den Kern verdrängen (Siegelringzellen): diffuser Typ des Magenkarzinoms nach Lauren.
  • Nur vereinzelt Drüsenbildung.
  • Lymphgefässeinbrüche.
Das sollte der Kliniker dem Pathologen mitteilen:
  • Tumorlokalisation.
  • Stagingbefunde.
Praxis-Tipp:
  • Bei längerer Transportdauer Gastrektomiepräparat vor der Fixation in 10% Formaldehyd an der großen Kurvatur eröffnen und auf einer Styroporplatte aufspannen.
  • Die Resektionsränder am unfixierten Präparat mit Faden markieren.
  • Bei ausgedehnten Resektionen auf dem Anmeldezettel angeben, welche Organe/Organteilstücke entfernt wurden. Ev. Skizze.
Makroskopie
Befund
Pathologischer Befund
Normalbefund
Literatur
Datum
Ersteintrag: 15.03.2019
Update: 15.03.2019