PathoPic – image database / PathoPic ID 3315 - Siegelringzellkarzinom: Linitis plastica

de
Diagnose
Siegelringzellkarzinom: Linitis plastica
Diagnose Gruppe
maligner Tumor
Topographie
Magen
Topographie Gruppe
Oesophagus, Magen
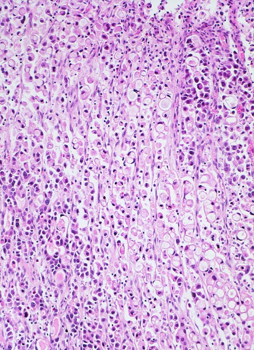
Beschreibung
Der Tumor besteht zu einem Grossteil aus Siegelringzellen mit unterschiedlich grossen Schleimvakuolen, die den Kern zur Seite drängen. Links unten im Bild bilden die Tumorzellen kleine Drüsenschläuche.
Zusatzbefund
Diffuse Verdickung der Magenwand auf einem Durchmesser von 16cm. Submuköse Tumorausbreitung im distalen Ösophagusdrittel. Magenoberfläche grobhöckrig ohne Ulzera oder polypoide Tumormasse.
Klinik
Fortgeschrittenes Adenokarzinom im distalen Ösophagus.
Kommentar
Magenkarzinome, die zu mindestens 50% aus Siegelringzellen bestehen, werden gemäss WHO als Siegelringzellkarzinome bezeichnet.
Bilder Typ
Histologie
Alter
38
Geschlecht
männlich
Datum
Ersteintrag: 12.11.2001