PathoPic – image database / PathoPic ID 4336 - normale Magenkorpusmukosa

de
Diagnose
normale Magenkorpusmukosa
Diagnose Gruppe
Normalbefund
Topographie
Magenkorpus
Topographie Gruppe
Oesophagus, Magen
Beschreibung
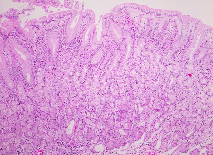
Magenkorpusmukosa mit relativ kurzen Foveolae. Wegen der fehlenden Entzündung ist das Stroma (=Lamina propria) zwischen den magenspezifischen Drüsen und den Foveolae kaum erkennbar. Die Belegzellen sind an ihrem hellen Zytoplasma und ihrer kugeligen Form erkennbar, die Hauptzellen an ihrem eosinophilen Zytoplasma und die Nebenzellen an den basalständigen Kernen.
Klinik
Ösophaguskarzinom.
Bilder Typ
Histologie
Vergrösserung
50
Alter
64
Geschlecht
männlich
Datum
Ersteintrag: 05.04.2002