PathoPic – image database / PathoPic ID 4335 - normaler Magenkorpus

de
Diagnose
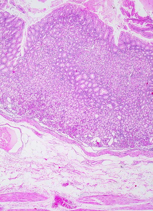
normaler Magenkorpus
Diagnose Gruppe
Normalbefund
Topographie
Magenkorpus
Topographie Gruppe
Oesophagus, Magen
Beschreibung
Die kurzen Foveolae gastricae erscheinen teilweise wegen schrägem Anschnitt der Mukosa in die Tiefe verlagert. Unter der Mukosa folgt eine schmale Lamina muscularis mucosae und daran anschliessend das lockere Bindegewebe der Submukosa. Am unteren Bildrand ist die innere Schicht der Muscularis Propria erkennbar.
Klinik
Ösophaguskarzinom.
Bilder Typ
Histologie
Vergrösserung
320
Alter
64
Geschlecht
männlich
Datum
Ersteintrag: 05.04.2002