PathoPic – image database / PathoPic ID 3385 - Adenokarzinom des Magens mit Siegelringzellen

de
Diagnose
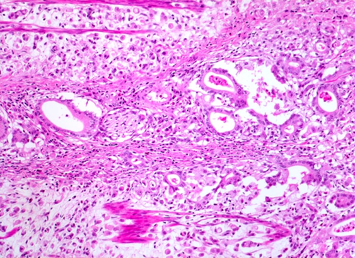
Adenokarzinom des Magens mit Siegelringzellen
Diagnose Gruppe
maligner Tumor
Topographie
Magen
Topographie Gruppe
Oesophagus, Magen
Beschreibung
Ein Grossteil des Tumorinfiltrats besteht aus einzeln liegenden Siegelringzellen. Ein Teil der Tumorzellen bildet Drüsenschläuche (Mischtyp nach Lauren). Tumorinfiltration einer Nervenscheide. Zwischen den Tumorzellen Reste der glatten Muskulatur der Magenwand.
Zusatzbefund
Diffuse Verdickung und Versteifung der Magenwand im Sinne einer Linitis plastica bei intakter Schleimhautoberfläche. Aufhebung des Faltenreliefs.
Klinik
Seit einigen Monaten klagte der Patient über unspezifische Oberbauchbeschwerden.
Kommentar
Der histologische Subtyp eines Siegelringzellkarzinoms darf dann diagnostiziert werden, wenn die Siegelringzellen mindestens 50% der Tumormasse ausmachen.
Bilder Typ
Histologie
Vergrösserung
100
Alter
46
Geschlecht
männlich
Datum
Ersteintrag: 17.12.2001
Update: 24.03.2008