PathoPic – image database / PathoPic ID 4337 - normaler Magenkorpus: magenspezifische Drüsen

de
Diagnose
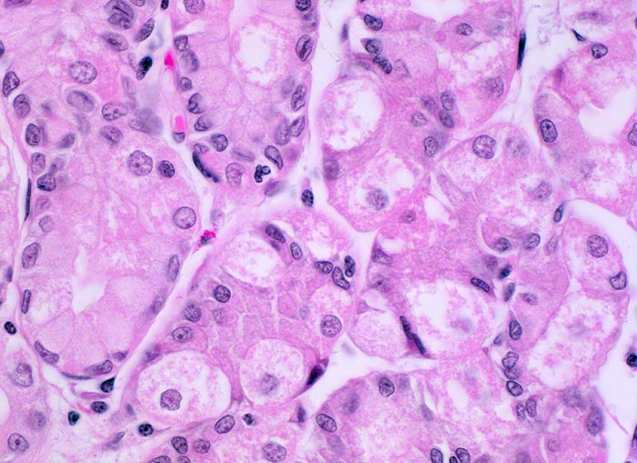
normaler Magenkorpus: magenspezifische Drüsen
Diagnose Gruppe
Normalbefund
Topographie
Magenkorpus
Topographie Gruppe
Oesophagus, Magen
Beschreibung
Drüsenhals ausgekleidet durch schleimbildende Nebenzellen mit basalen Kernen. Die magenspezifischen Drüsen werden ausgekleidet durch grosse, blasse säureproduzierende Belegzellen mit zentralem Kern und durch kleinere pepsinogenproduzierende Hauptzellen mit grossen basalen Kernen und eosinophilem fein granuliertem Zytoplasma.
Klinik
Ösophaguskarzinom.
Bilder Typ
Histologie
Vergrösserung
320
Alter
64
Geschlecht
männlich
Datum
Ersteintrag: 05.04.2002