ETHZ spez/ Minimal invasives follikuläres Schilddrüsenkarzinom

Diagnose
Minimal invasives follikuläres Schilddrüsenkarzinom
Diagnose Gruppe
maligner Tumor
Topographie Gruppe
Endokrinium
Topographie
Schilddrüse
Einleitung
Histogenese:
Beim follikulären Karzinom handelt es sich um einen malignen Schilddrüsentumor mit Follikelzelldifferenzierung ohne die morphologischen Kernmerkmale des papillären Karzinoms. 

Einteilung:
Die Subtypisierung der follikulären Karzinome erfolgt gemäss den Richtlinien der WHO 2017 nach dem Ausmass der Invasivität in minimal invasive (nur Kapseldurchbrüche), gekapselt angioinvasive und grob invasive Karzinome mit meist schon makroskopisch sichtbaren zahlreichen Kapseldurchbrüchen und Gefässeinbrüchen. Follikuläre Schilddrüsenkarzinome mit zahlreichen Gefässeinbrüchen und grob invasive Tumoren haben eine schlechtere Prognose.

Diagnostik:
Entscheidend für die Diagnose eines follikulären Schilddrüsenkarzinoms in Abgrenzung zu einem gutartigen follikulären Schilddrüsenadenom ist der Nachweis eines Durchbruchs der Tumorkapsel (> 2753) (> 4951) und/oder ein Einbruch in Venen (> 4953) (> 8265) innerhalb oder jenseits der Tumorkapsel sowie das Fehlen morphologischer Kernmerkmale eines papillären Schilddrüsenkarzinoms. Zytologische Atypien kommen auch bei gutartigen follikulären Adenomen vor und sind deshalb kein Malignitätsmerkmal. Da Kapseldurchbrüche und Gefässeinbrüche nur am Gewebsschnitt diagnostiziert werden können, ist eine präoperative zytologische Diagnose eines follikulären Schilddrüsenkarzinoms anhand der Feinnadelpunktionszytologie nicht möglich. 
 Lymphgefässeinbrüche oder Lymphknotenmetastasen gibt es im Gegensatz zum papillären Schilddrüsenkarzinom bei follikulären Karzinomen praktisch nie. Grob-invasive Karzinome (> 8137) (> 8286) (> 8267) stellen sich bereits makroskopisch als grosse, grau-weiße Tumoren mit unscharfer Begrenzung dar und/oder weisen mikroskopisch sehr ausgedehnte Kapseldurchbrüche und Gefässeinbrüche auf. Unter diagnostischen und therapeutischen Aspekten ebenfalls wichtig ist der Tumorzelltyp, da sowohl Hürthlezell-Karzinome (> 3036) wie auch hellzellige Karzinome beziehungsweise deren gleichartig differenzierte Metastasen keine oder nur eine deutlich reduzierte Radiojodspeicherung aufweisen. Die Diagnose "follikuläres Schilddrüsenkarzinom" ist eine Ausschlussdiagnose (DD: follikuläres Adenom, papilläres Karzinom vom follikulären Subtyp). Differenzierte papilläre und follikuläre Schilddrüsenkarzinome werden nicht gegradet.

Verlauf:
Im Gegensatz zur lymphogenen Metastasierung des papillären Karzinoms metastasieren follikuläre Karzinome ganz überwiegend hämatogen in die Lungen, das Skelettsystem (> 2786) (> 2787), das Gehirn und die Leber. Fernmetastasen treten bei rund 10% der minimal-invasiven und 80% der grob-invasiven Karzinome auf. Lymphknotenmetastasen sind deutlich seltener als beim papillären Schilddrüsenkarzinom. 

update 2. September 2022
Klinik
Vorkommen:
 Schilddrüsenkarzinome sind mit einer jährlichen Neuerkrankungsrate von 4,1/100.000 bei Frauen und 1,5/100.000 Einwohner bei Männern ein seltener Tumor. Obwohl die Inzidenz des Schilddrüsenkarzinoms mit dem Alter steigt, ist Schilddrüsenkrebs ein relativ häufiger Tumor bei Jugendlichen und jungen Erwachsenen. Das follikuläre Karzinom kommt in allen Altersgruppen vor. Das Durchschnittsalter beträgt 49 Jahre bei einer Altersverteilung von 15 bis 84 Jahre. Die Karzinome der Schilddrüse nehmen ihren Ursprung mit beträchtlichen geographischen Unterschieden entweder von den Follikelzellen (88–99% aller Schilddrüsenkarzinome; follikuläres, papilläres, gering differenziertes und undifferenziertes Karzinom) oder von den kalzitoninproduzierenden C-Zellen (1–12%; medulläres Karzinom). Das Verhältnis von papillären zu follikulären Karzinomen hat sich in den letzten dreissig Jahren um den Faktor 3.5x zu Gunsten der papillären Karzinome verschoben, deren Inzidenz stark gestiegen ist. Die Inzidenz des follikulären Karzinoms hat sich im gleichen Zeitraum kaum verändert oder abgenommen. Rund 6 bis 10% aller Schilddrüsenkarzinome sind follikuläre Karzinome. In Gegenden mit endemischer Struma wegen Jodmangel ist der Anteil follikulärer Karzinome erhöht. 

Diagnostik:
 Ultrasonographisch diagnostizierte Schilddrüsenknoten werden in einem ersten Schritt mittels sonographisch gesteuerter Feinnadelpunktion abgeklärt. Zytologisch können makrofollikuläre Strumaknoten, mikrofollikuläre Neoplasien (follikuläres Adenom oder follikuläres Karzinom), papilläre Karzinome und undifferenzierte Karzinome unterschieden werden. Ein negativer zytologischer Befund schließt ein Karzinom nicht aus. Dies gilt insbesondere für follikuläre Neoplasien, deren Dignität zytologisch nicht bestimmbar ist. Aus diesem Grund beschränkt sich die zytologische Diagnostik hierbei auf die Feststellung einer "follikulären Neoplasie", ein Befund, der in aller Regel die operative Abklärung zum Ausschluss eines follikulären Schilddrüsenkarzinoms zur Konsequenz hat. Die Unterscheidung follikuläres Adenom versus follikuläres Karzinom setzt den definitiven Nachweis eines Kapseldurchbruchs und/oder einer Gefäßinvasion voraus. Die Diagnose kann deshalb ausschliesslich durch die histologische Untersuchung des Tumors im Paraffinschnitt gelingen. Das papilläre Karzinom ist hingegen definiert über zytologische Kernkriterien und kann deshalb oft schon in der präoperativen Feinnadelpunktionszytologie korrekt diagnostiziert werden. 

Therapie:
 Standardtherapie ist die (totale) Thyreoidektomie mit zentraler Lymphknotendissektion und Erhaltung mindestens einer Nebenschilddrüse.Ziel der Radiojodtherapie nach totaler Thyreoidektomie ist neben der Ablation von eventuell noch vorhandenem restlichem Schilddrüsengewebe (z.B. Lobus pyramidalis) der Nachweis bzw. Ausschluß von speichernden Lymphknoten- und Fernmetastasen. Follikuläre Schilddrüsenkarzinome vom onkozytären Typ speichern weniger Radiojod und sprechen deshalb auf diese Therapie weniger gut an. Eine perkutane Strahlentherapie ist indiziert nach Thyreoidektomie eines auf die Schilddrüse beschränkten wenig differenzierten oder undifferenzierten Schilddrüsenkarzinoms oder nach Verbleiben eines mikroskopischen oder makroskopischen Tumorrests (R1- oder R2-Resektion) eines differenzierten Schilddrüsenkarzinoms, wenn die operative Entfernung (Reoperation) und/oder eine Ausschaltung mit Radioiod nicht möglich sind. Beim papillären und follikulären Karzinom erfolgt die Substitution von Levothyroxin in TSH-suppressiver Dosierung lebenslang. 

Prognose:
 Minimal invasive follikuläre Schilddrüsenkarzinome, die lediglich Kapseldurchbrüche zeigen, haben eine exzellente Prognose. Follikuläre Karzinome mit Gefässinvasion können hämatogene Metastasen entwickeln. Je mehr Gefässe invadiert sind, desto schlechter wird die Prognose. 10 Jahre nach Diagnosestellung eines follikulären Schilddrüsenkarzinoms leben noch 60% der Patienten. Prognostisch ungünstig sind Fernmetastasen, Alter über 50 Jahre, Tumordurchmesser mehr als 4cm und ausgedehnte Gefässeinbrüche. 

update 8. August 2017 
Morphologie
Morphologische Befunde: 
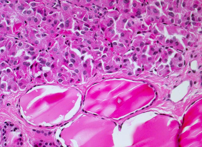
  • Teils mikro- teils makrofollikuläre bekapselte Knoten. 
  • Tumorzellen ohne Kernatypien. 
  • Wenig Kolloid. 
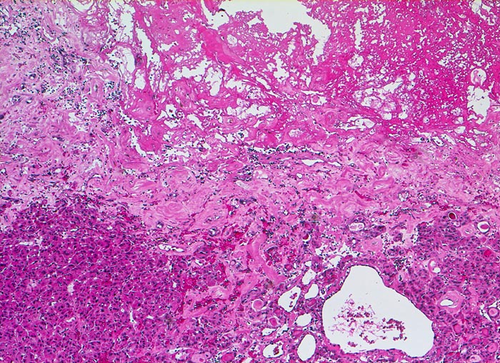
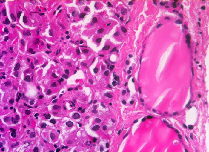
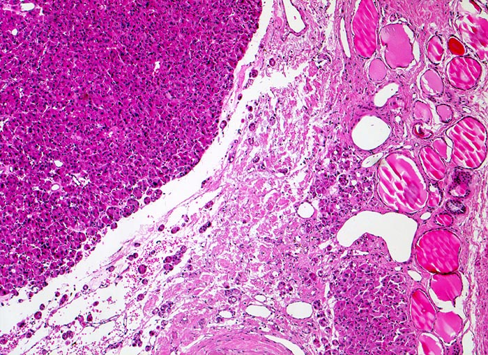
  • Kapseldurchbrüche: Die breite bindegewebige Kapsel wird an mehreren Stellen pilzförmig vorgewölbt und an einigen Orten vollständig durchbrochen. 
  • Keine eindeutigen Gefässeinbrüche (keine Tumorthromben oder endothelialisierte Tumorzapfen in Venen der Kapsel oder jenseits der Kapsel). Das sollte der Kliniker dem Pathologen mitteilen: 
  • Sonographischer und szintigraphischer Befund. 
  • Zytologischer Vorbefund. 
  • Schilddrüsenfunktion. Praxis-Tipp: 
  • Bei Hemithyreoidektomie den Resektionsrand mit Faden markieren. 
  • Die intraoperative Schnellschnittuntersuchung ist nur von limitiertem Nutzen bei follikulären oder onkozytären Neoplasien (zytologischer Vorbefund). Weil der Beweis der Malignität meist eine ausgedehnte Untersuchung der Kapsel erfordert, kann der Malignitätsnachweis nur selten intraoperativ erfolgen. Da die meisten follikulären Neoplasien sich als benigne herausstellen, ist eine Zweitoperation auch nach unterlassener Schnellschnittuntersuchung meist nicht erforderlich. 
  • Zweiteingriffe zur Restthyreoidektomie sollten aus operationstechnischen Gründen in der Regel nach spätestens 72 h erfolgen. Chirurgische Eingriffe an der Schilddrüse deshalb möglichst am Wochenanfang und nicht am letzten Tag vor dem Wochenende oder an Feiertagen ansetzen. 
Makroskopie
Befund
Pathologischer Befund
Normalbefund
Datum
Ersteintrag: 10.07.2019
Update: 26.07.2022