PathoPic – image database / PathoPic ID 2787 - Metastase follikuläres Schilddrüsenkarzinom

de
Diagnose
Metastase follikuläres Schilddrüsenkarzinom
Diagnose Gruppe
maligner Tumor
Topographie
Knochen, Becken
Topographie Gruppe
Knochen, Knorpel, Gelenke
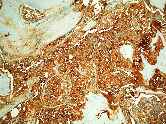
Beschreibung
Die malignen Zellen reagieren stark mit Thyreoglobulin.
Zusatzbefund
Die Tumorzellen reagieren positiv mit Thyreoglobulin sowie mit dem nukleären Transkriptionsfaktor TTF-1
Klinik
Kein bekanntes Schilddrüsenkarzinom. Vor 30 Jahren Adenokarzinom des Kolons.
Bilder Typ
Histologie
Immunhistochemie
Thyreoglobulin
Alter
82
Geschlecht
unbekannt
Datum
Ersteintrag: 18.03.2002
Update: 20.05.2010