ETHZ spez/ Autonomes Adenom der Schilddrüse

Diagnose
Autonomes Adenom der Schilddrüse
Diagnose Gruppe
benigner Tumor
Topographie Gruppe
Endokrinium
Topographie
Schilddrüse
Einleitung
Definition:
Ein toxisches Adenom ist ein follikuläres Adenom mit klinischen Zeichen der Schilddrüsenüberfunktion. Toxische Adenome machen lediglich etwa 1% aller Schilddrüsenadenome aus. Ein autonomes Adenom (unifokale Autonomie) produziert- unabhängig von der Steuerung durch die Hypophyse- Schilddrüsenhormone. Die übrigen Schilddrüsenareale werden normal - d.h. TSH abhängig - reguliert. Ein kompensiertes autonomes Adenom ist immer euthyreot, ein dekompensiertes kann klinisch euthyreot oder hyperthyreot sein. Die häufigere multifokale Autonomie zeichnet sich durch mehrere autonome Areale in der Schilddrüse aus.

Genetik:
In den meisten autonomen Adenomen können somatische "Gain-of-function-Mutationen" des TSH-Rezeptor-Gens, die zur Aktivierung des TSH-Rezeptors führen, nachgewiesen werden.

Morphologie:
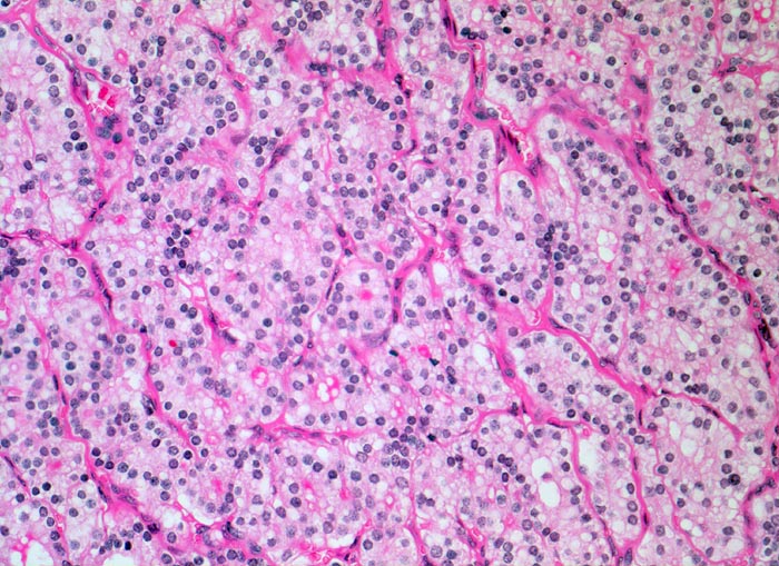
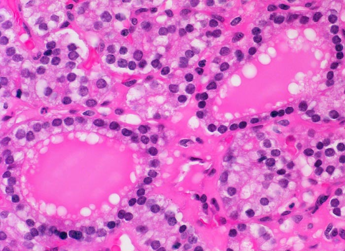
In 60% entwickelt sich das autonome Adenom in einer normalen Schilddrüse, in 40% in einer diffusen oder multinodösen Struma (multinodöse toxische Struma). Die hyperaktiven Knoten zeigen in der Regel eine relativ schmale bindegewebige Kapsel und sind gut begrenzt. Morphologisch finden sich Zeichen der endokrinen Hyperaktivität: kleine Follikel mit kubischem oder zylindrischem Epithel mit hellem Zytoplasma und Ausbildung von Resorptionsvakuolen im Follikelinhalt, wenig und blasses Kolloid. Regressive Veränderungen sind häufig (Einblutungen, Fibrose, Verkalkungen). Die gesteigerte Hormonproduktion kann zu einer Atrophie der Restschilddrüse führen.

Differentialdiagnose:
Eine mikroskopische Unterscheidung einer toxischen von einer nichttoxischen Knotenstruma ist nur bei Kenntnis des klinischen Bildes möglich. Von besonderer differenzialdiagnostischer Bedeutung sind das Vorkommen manchmal deutlich ausgeprägter Kapselinfiltrationen (ohne Kapseldurchbruch) sowie Tumorprotrusionen in Kapselgefäße bei autonomen Adenomen. Die Kenntnis der hormonellen Überfunktion ist daher unerlässlich, um histologisch ein autonomes Adenom von einem minimal-invasiven follikulären Karzinom unterscheiden zu können. Da von szintigraphisch heißen Knoten ausgehende Karzinome absolute Raritäten darstellen, sollten beim Vorliegen eines heißen Knotens in Blutgefäße hineinragende Tumorformationen nicht als Angioinvasion wie bei einem kalten Knoten gewertet werden. Beim Morbus Basedow bestehen die Zeichen der endokrinen Hyperaktivität im Gegensatz zum autonomen Adenom oder zur multinodösen toxischen Struma diffus in der ganzen Schilddrüse.
Klinik
Vorkommen:
In Gebieten mit ausreichender Jodversorgung wird bei bis zu 10% der Patienten mit Hyperthyreose diese durch ein autonomes Adenom verursacht, bei schlechter Jodversorgung deutlich häufiger. Die Patienten sind meist über 40 Jahre alt. Frauen überwiegen in einem Verhältnis von 6:1. Autonome Adenome sind häufig Ursache einer Hyperthyreose im höheren Lebensalter. Die multinodöse toxische Struma entwickelt sich in einer lange bestehenden multinodösen Struma meist jenseits des 50. Altersjahres und ebenfalls häufiger bei Frauen.

Symptomatik:
Eine Struma uni/multinodosa bei einem älteren hyperthyreoten Patienten ohne Schilddrüsen Autoantikörper oder extrathyroidale Symptome ist mit grosser Wahrscheinlichkeit auf eine funktionelle Autonomie zurückzuführen. Im höheren Lebensalter gibt es dabei oft mono- oder oligosymptomatische Verlaufsformen der Hyperthyreose, die ohne TSH Bestimmung leicht zu übersehen sind. Übererregbarkeit, beschleunigter Herzschlag, Diarrhoe, Zittern etc. können Hinweise sein. Eine endokrine Orbitopathie gibt es beim autonomen Adenom nicht.

Diagnostik:
Das basale TSH ist erniedrigt, der TRH Test ist negativ, freies T3 und T4 sind erhöht. Szintigraphisch lässt sich eine unifokale Aktivitätsanreicherung nachweisen. Sonographisch ist die Konstellation von einem solitären echoarmen oder echogleichen Knoten in einer kleinen Restschilddrüse typisch. Im Farbdoppler lässt sich eine Hypervaskularisation nachweisen.

Therapie:
Im allgemeinen sollte das autonome Adenom behandelt werden, wenn es größer wird als 2cm. Ein autonomes Adenom mit Hyperthyreose muß behandelt werden. Die Therapie besteht in einer Resektion, medikamentösen Supression oder einer Radiojodtherapie.

Verlauf:
Heiße Knoten wachsen oft über Jahre nur sehr langsam. Ein autonomes Adenom kann im Stadium der Euthyreose über Jahre konstant groß und klinisch stumm bleiben. Ein abwartendes Verhalten ist bei Euthyreose somit oft vertretbar. Das Hyperthyreoserisiko ist allerdings jederzeit gegeben und wird durch exzessive Jodgabe provoziert. Patienten mit unbekannter oder unbehandelter Autonomie bilden die größte Gruppe der durch die Gabe von jodhaltigen Medikamenten oder Kontrastmitteln gefährdeten Patienten. Etwa 2-5 % der Patienten mit autonomem Adenom und Euthyreose werden pro Jahr hyperthyreot. Eine Autonomie persistiert oder rezidiviert bei ca 3-10% der operierten Patienten.
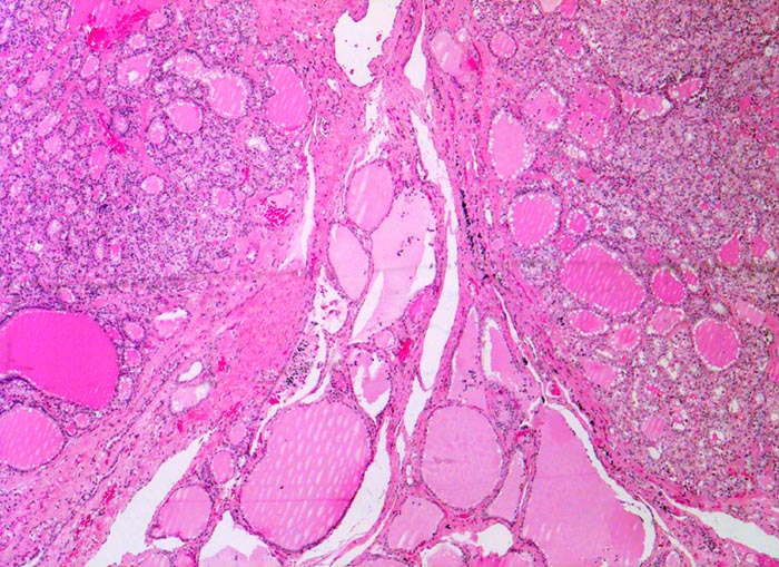
Morphologie
Morphologische Merkmale:
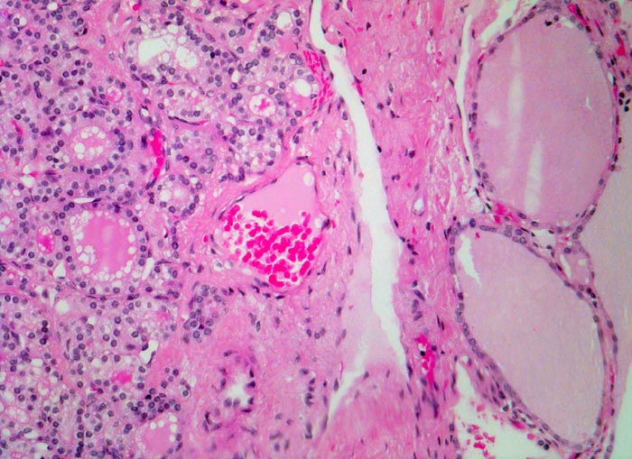
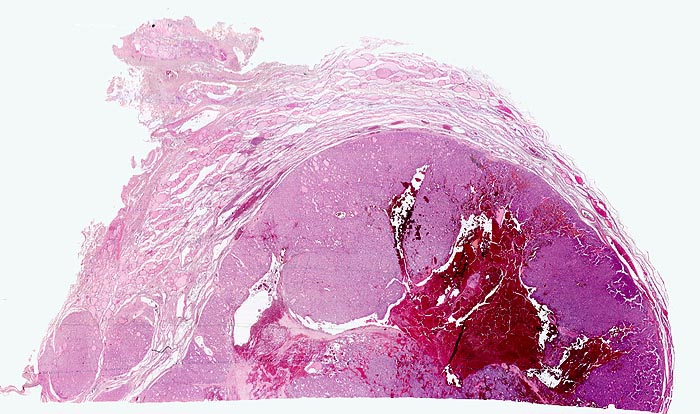
  • Anschnitt eines grossen mikrofollikulären Knotens (autonomes Adenom) mit angedeuteter Kapsel und zentraler Einblutung. Oben zwei weitere kleine Satellitenknoten.
  • Kompression des angrenzenden Schilddrüsenparenchyms. Dieses besteht aus grossen Follikeln mit kubischem oder abgeflachtem Epithel und reichlich kompaktem dunklem Kolloid in den Follikellumina.
  • Zeichen gesteigerter hormoneller Aktivität im Adenom:
    • Kleine Drüsenlumina.
    • Teils mehrreihiges kubisches bis zylindrisches Epithel.
    • Fehlendes oder nur spärliches helles Kolloid mit zahlreichen Resorptionsvakuolen.
Das sollte der Kliniker dem Pathologen mitteilen:
  • Sonographischer und szintigraphischer Befund.
  • Schilddrüsenfunktion.
  • Durchgeführte Therapie (medikamentöse Suppression, Radiojodtherapie).
Makroskopie
Virtuelles Präparat
Befund
Pathologischer Befund
Normalbefund
Datum
Ersteintrag: 17.11.2018
Update: 17.11.2018