PathoPic – image database / PathoPic ID 5250 - follikuläres Schilddrüsenkarzinom

de
Diagnose
follikuläres Schilddrüsenkarzinom
Diagnose Gruppe
maligner Tumor
Topographie
Schilddrüse
Topographie Gruppe
Endokrinium
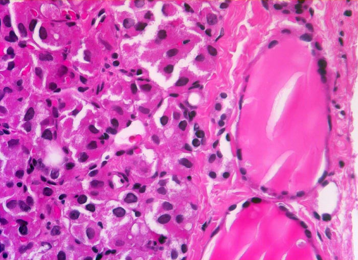
Beschreibung
Rechts im Bild zwei normale Follikel mit flachem Epithel und reichlich Kolloid. Die neoplastischen Follikel links im Bild sind sehr klein und enthalten kaum Kolloid. Die Tumorzellen haben vergrösserte polygonale Kerne und reichlich Zytoplasma.
Klinik
Seit zirka 10 Jahren ist beim Patienten eine Struma bekannt. Jetzt sucht er den Hausarzt auf, weil er den Eindruck hat, die Schilddrüse sei grösser geworden. In der Ultraschall-Untersuchung wird ein Knoten im rechten Schilddrüsenlappen festgestellt, der relativ scharf vom angrenzenden Gewebe abgesetzt ist. Die Feinnadelpunktion ergibt eine follikuläre Neoplasie; eine Unterscheidung zwischen einem follikulären Adenom und einem follikulären Karzinom ist zytologisch jedoch nicht möglich. Es wird eine Hemithyreoidektomie durchgeführt und nach der Diagnosestellung eines follikulären Karzinoms eine Resthyreoidektomie angeschlossen.
Bilder Typ
Histologie
Vergrösserung
320
Alter
54
Geschlecht
männlich
Datum
Ersteintrag: 23.07.2002