PathoPic – image database / PathoPic ID 3036 - Follikuläres onkozytäres Karzinom

de
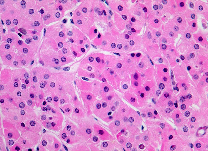
Diagnose
Follikuläres onkozytäres Karzinom
Diagnose Gruppe
maligner Tumor
Topographie
Schilddrüse
Topographie Gruppe
Endokrinium
Beschreibung
Monomorphe kubische onkozytäre Tumorzellen mit runden blanden Kernen. Viel eosinophiles feingranuläres Zytoplasma.
Zusatzbefund
Auf Schnitt brauner homogener karzinomverdächtiger solider Tumorknoten max. Dm 35mm mit kleinen Blutungsherden. Gefässeinbrüche in der Tumorkapsel. Kein Kapseldurchbruch.
Klinik
Struma nodosa. Zytologisch onkozytärer Tumor.
Bilder Typ
Histologie
Vergrösserung
320
Alter
65
Geschlecht
unbekannt
Datum
Ersteintrag: 20.03.2002
Update: 03.02.2003