PathoPic – image database / PathoPic ID 4842 - follikuläres Schilddrüsenkarzinom

de
Diagnose
follikuläres Schilddrüsenkarzinom
Diagnose Gruppe
maligner Tumor
Topographie
Schilddrüse
Topographie Gruppe
Endokrinium
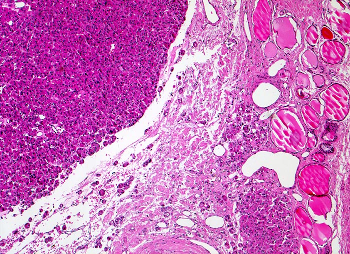
Beschreibung
Das Karzinom erscheint als solide zellreiche Tumormasse und unterscheidet sich morphologisch deutlich vom angrenzenden makrofollikulären Parenchym. Die breite Tumorkapsel wird von malignen Follikeln durchsetzt. Jenseits der Kapsel ist Tumorgewebe erkennbar, das die Kapsel durchbrochen hat und unmittelbar an das normale Parenchym angrenzt.
Klinik
Seit zirka 10 Jahren ist beim Patienten eine Struma bekannt. Jetzt sucht er den Hausarzt auf, weil er den Eindruck hat, die Schilddrüse sei grösser geworden. In der Ultraschall-Untersuchung wird ein Knoten im rechten Schilddrüsenlappen festgestellt, der relativ scharf vom angrenzenden Gewebe abgesetzt ist. Die Feinnadelpunktion ergibt eine follikuläre Neoplasie; eine Unterscheidung zwischen einem follikulären Adenom und einem follikulären Karzinom ist zytologisch jedoch nicht möglich. Es wird eine Hemithyreoidektomie durchgeführt und nach der Diagnosestellung eines follikulären Karzinoms eine Resthyreoidektomie angeschlossen.
Kommentar
Ein follikuläres Schilddrüsenkarzinom kann bewiesen werden, wenn entweder (1) die Kapsel des follikulär gebauten Knotens vom Tumor durchbrochen wird und das Karzinomgewebe das angrenzende Schilddrüsengewebe infiltriert oder (2) Tumoreinbrüche in Gefässe (meistens Kapselvenen) nachweisbar sind oder (3) der Tumor bereits makroskopisch klar invasiv wächst (grob invasives Karzinom)
Bilder Typ
Histologie
Vergrösserung
50
Alter
54
Geschlecht
männlich
Datum
Ersteintrag: 11.06.2002