p/ Hodgkin Lymphom

Diagnose
Hodgkin Lymphom
Diagnose Gruppe
maligner Tumor
Differenzialdiagnose
Topographie Gruppe
Lymphatische Gewebe, KM, Milz
Topographie
Lymphknoten, supraklavikulär
Einleitung
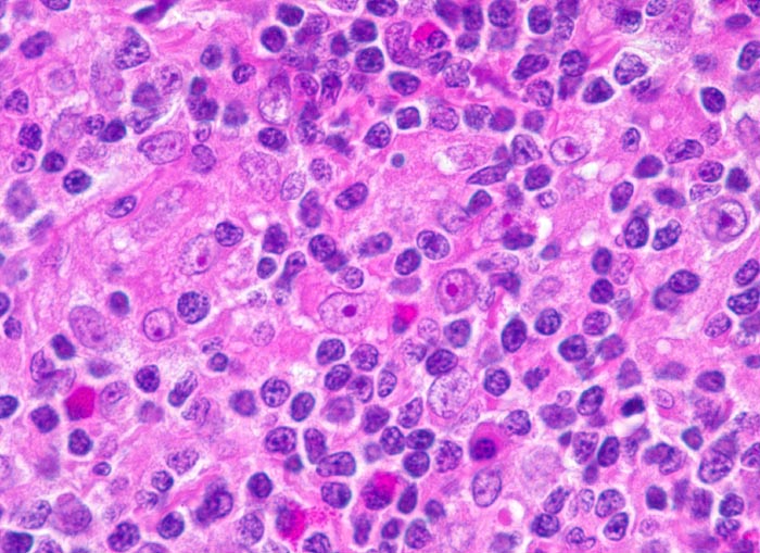
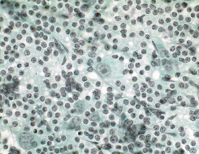
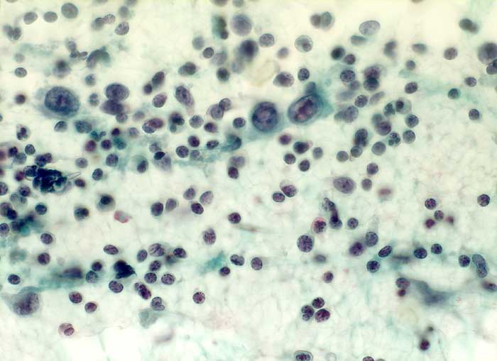
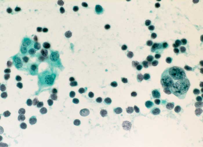
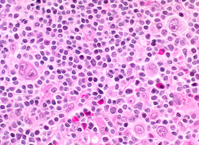
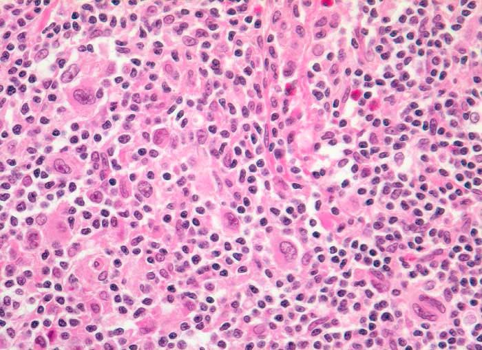
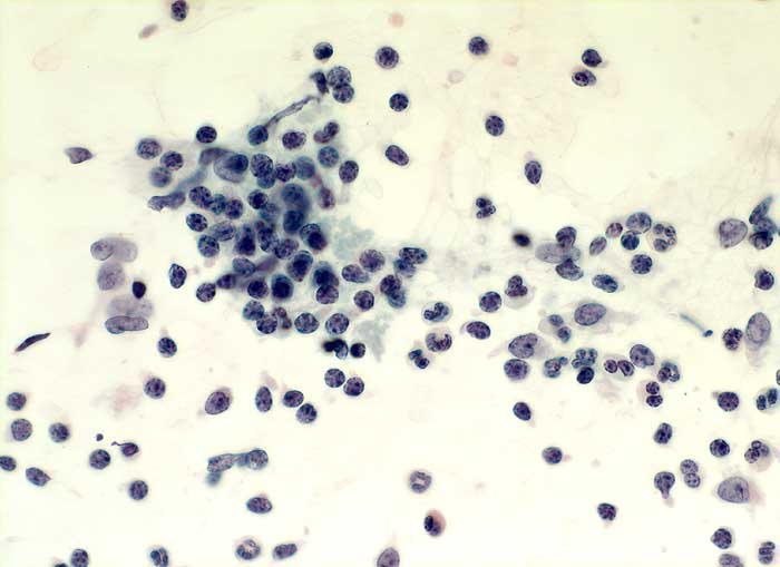
Das Zellbild ist bunt und umfasst Lymphozyten, Plasmazellen, eosinophile Granulozyten und einzeln im reaktiven Infiltrat liegende Tumorzellen. Die Tumorzellen sind einkernig (Hodgkin Zelle) oder mehrkernig (Reed-Sternbergzellen) und enthalten einen sehr grossen Nukleolus. Die Tumorzellen sind immunzytochemisch positiv für CD15 und CD30. Nodulär sklerosierender und gemischtzelliger Subtyp des Hodgkin Lymphoms sind zytologisch nicht sicher zu unterscheiden.
Gezeigt werden eine noduläre Sklerose und zwei Hodgkin Lymphome vom Mischzelltyp.
Klinik
-
Normalbefund
Morphologie
Makroskopie
Virtuelles Präparat
Befund
Pathologischer Befund
Normalbefund
Literatur
Datum
Ersteintrag: 13.04.2003
Update: 13.04.2003