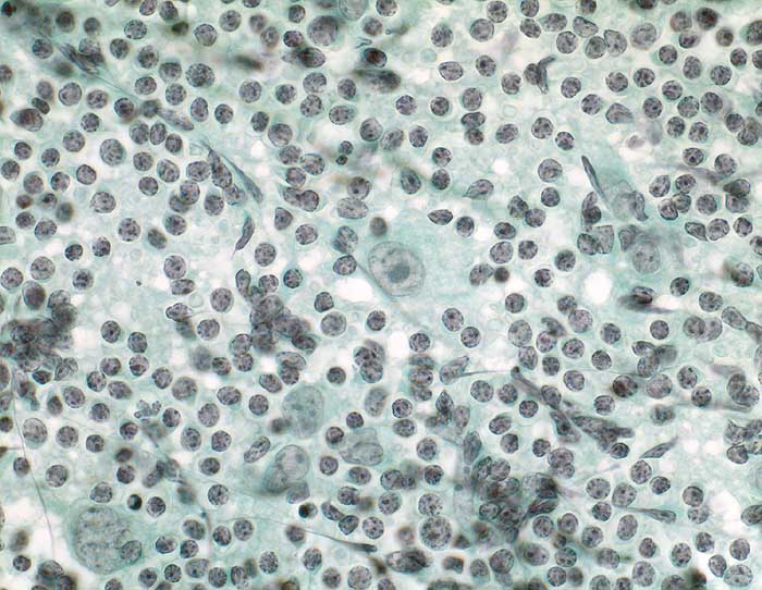
Feinnadelpunktion Lymphknoten supraclaviculär links: Neben reichlich Lymphozyten und vereinzelten Granulozyten immer wieder einzeln liegende Hodgkin Zellen mit einem grossen Kern und einem teils Erythrozyten grossen Nukleolus. Zytoplasma breit und zyanophil.