PathoPic – image database / PathoPic ID 3875 - Hodgkin-Lymphom, Mischzelltyp: Hodgkin Zellen

de
Diagnose
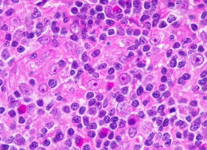
Hodgkin-Lymphom, Mischzelltyp: Hodgkin Zellen
Diagnose Gruppe
maligner Tumor
Topographie
Lymphknoten, Kopf-cervikal
Topographie Gruppe
Lymphatische Gewebe, KM, Milz
Beschreibung
Nachweis von Hodgkin-Zellen: grosse, blastoide Zellen mit grossem Kern und grossem eosinophilen Nukleolus. Ansonsten gemischtzelliges Infiltrat aus reaktiven Zellen: Lymphozyten, Histiozyten, Plasmazellen und eosinophilen Granulozyten.
Klinik
Vergrösserte zervikale und axilläre Lymphknoten, Fieber und Nachtschweiss.
Kommentar
-
Bilder Typ
Histologie
Vergrösserung
630
Alter
28
Geschlecht
männlich
Datum
Ersteintrag: 26.09.2002