Pathopic
HiPaKu
ZyPaKu
PathoBasic
PathoBasic Cytology
Quizzes
Projektinfos
PathoPic - Projekt- und Copyright-Info
About
Pathopic
HiPaKu
ZyPaKu
PathoBasic
PathoBasic Cytology
Quizzes
PathoPic – image database
/
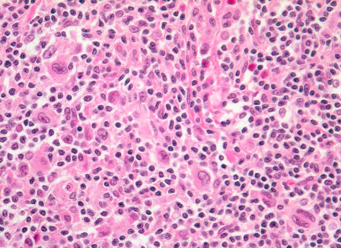
PathoPic ID 5575 - Hodgkin Lymphom noduläre Sklerose
de
Diagnose
Hodgkin Lymphom noduläre Sklerose
Diagnose Gruppe
maligner Tumor
Topographie
Lymphknoten, supraklavikulär
Topographie Gruppe
Lymphatische Gewebe, KM, Milz
Beschreibung
Buntes Infiltrat zusammengesetzt aus Lymphozyten, Histiozyten und eosinophilen Granulozyten. Darin einzelne einkernige
Hodgkinzellen und mehrkernige
Sternberg/Reed Zellen mit prominenten Nukleolen.
Klinik
Zervikale Lymphadenopathie.
Bilder Typ
Histologie
Vergrösserung
320
Alter
22
Geschlecht
männlich
Datum
Ersteintrag: 23.12.2002
Update: 11.02.2003
CPS
·
©
2024 Institut für Pathologie Basel
/
Dr. med. Katharina Glatz-Krieger
.
·
v2.1