PathoPic – image database / PathoPic ID 5853 - Hodgkin Lymphom: reaktives Infiltrat und Hodgkin Zellen

de
Diagnose
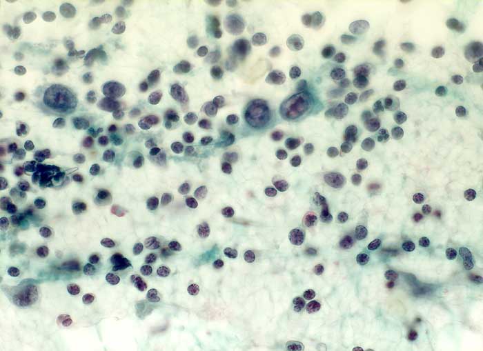
Hodgkin Lymphom: reaktives Infiltrat und Hodgkin Zellen
Diagnose Gruppe
maligner Tumor
Topographie
Lymphknoten, supraklavikulär
Topographie Gruppe
Lymphatische Gewebe, KM, Milz
Beschreibung
Feinnadelpunktion Lymphknoten supraclaviculär links: Gemischtes reaktives Infiltrat bestehend aus Lymphozyten, Plasmazellen, eosinophilen Granulozyten und Histiozyten. Darin einzelne grosse einkernige Hodgkinzellen mit prominenten Nukleolen
Zusatzbefund
Histologisch Hodgkin Lymphom, Mischzelltyp.
Klinik
Zervikale Lymphadenopathie und vergrösserter Lungenhilus.
Kommentar
Zytologische Diagnose: Hodgkin Lymphom
Bilder Typ
Zytologie
Vergrösserung
400
Alter
40
Geschlecht
männlich
Datum
Ersteintrag: 25.12.2002
Update: 17.02.2003