PathoPic – image database / PathoPic ID 5852 - Hodgkin Lymphom: reaktives Infiltrat

de
Diagnose
Hodgkin Lymphom: reaktives Infiltrat
Diagnose Gruppe
maligner Tumor
Topographie
Lymphknoten, supraklavikulär
Topographie Gruppe
Lymphatische Gewebe, KM, Milz
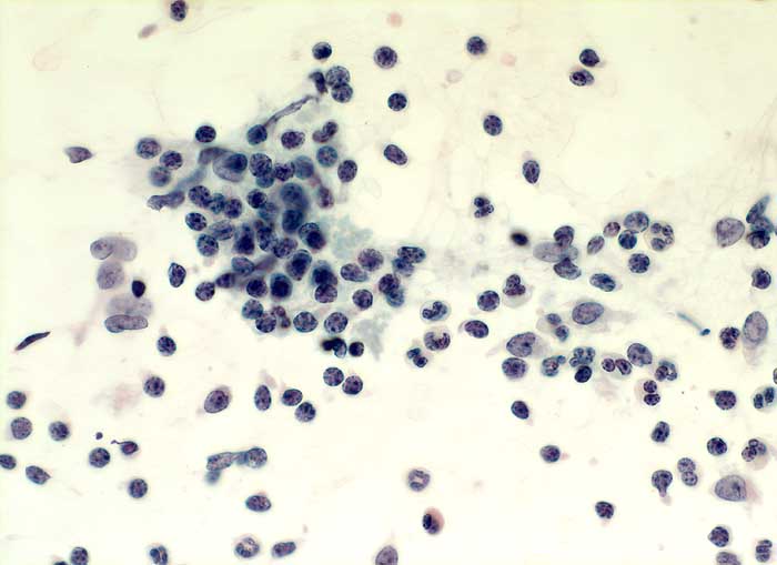
Beschreibung
Feinnadelpunktion Lymphknoten supraclaviculär links: Lymphozyten, plasmozytoide Zellen, Histiozyten und eosinophile Granulozyten bilden das reaktive Begleitinfiltrat. In diesem Bild keine Tumorzellen.
Zusatzbefund
Histologisch Hodgkin Lymphom, Mischzelltyp.
Klinik
Zervikale Lymphadenopathie und vergrösserter Lungenhilus.
Kommentar
Zytologische Diagnose: Hodgkin Lymphom
Bilder Typ
Zytologie
Vergrösserung
400
Alter
40
Geschlecht
männlich
Datum
Ersteintrag: 25.12.2002
Update: 17.02.2003