Definition:
Das Magenfrühkarzinom ( 5049) ist durch die Beschränkung des neoplastischen Prozesses auf die Magenmukosa (Mukosatyp) oder auf die Mukosa und Submukosa (Submukosatyp) definiert, unabhängig von der Flächenausdehnung und unabhängig vom Lymphknotenstatus. Die Muscularis propria des Magens ist dabei tumorfrei, was nur nach kompletter histologischer Aufarbeitung des Tumors bewiesen werden kann. Die Diagnose Magenfrühkarzinom kann daher präoperativ im Biopsiematerial nur vermutet werden und muß im Operationspräparat verifiziert werden.
Histogenese:
Es handelt sich wie auch beim fortgeschrittenen Adenokarzinom des Magens um einen malignen epithelialen Tumor, der von den Stammzellen im Drüsenhalsbereich ausgeht.
Ätiologie und Pathogenese: Für die Entstehung des Adenokarzinoms vom intestinalen Typ nach Laurén werden überwiegend Umweltfaktoren verantwortlich gemacht, in erster Linie die Infektion mit Helicobacter pylori. Für die die Entstehung des diffusen Typs nach Laurén sind genetische Faktoren von grösserer Bedeutung. Rund 1-3% der Adenokarzinome vom diffusen Typ sind hereditär (Keimbahnmutation im E-Cadherin Gen, erhöhtes Risiko für siegelringzelliges Magenkarzinom und lobuläres Mammakarzinom).
Im Gegensatz zum kolorektalen Karzinom, das nahezu immer aus einer adenomatösen Vorläuferläsion entsteht, entwickelt sich das sporadische Magenkarzinom, speziell der intestinale Typ nach Laurén, in der Regel auf dem Boden einer chronischen Gastritis und nur selten im Rahmen einer Adenom-Karzinom-Sequenz. Die gastritisassoziierte Dysplasie ist im Magen also weitaus häufiger als ein Adenom.
Vorstufen des Magenkarzinoms:
Die präkanzeröse Kaskade beim Magenkarzinom umfasst folgende Stufen:
Normale Magenschleimhaut.
Chronische, nicht-atrophe Gastritis.
Chronische, atrophe Gastritis (Hp-Gastritis) oder Autoimmungastritis.
Chronische, atrophe Gastritis mit intestinaler Metaplasie (Indikator für das Risiko einer Karzinomentwicklung).
Low grade Dysplasie der Magenschleimhaut (Präkanzerose).
High grade Dysplasie der Magenschleimhaut (Präkanzerose).
Invasives Adenokarzinom.
Morphologie:
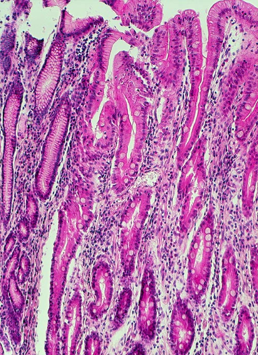
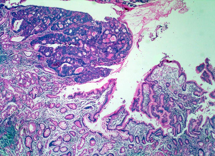
Bei Magenfrühkarzinomen findet sich häufiger ein intestinaler als ein diffuser Typ nach Lauren (Magenkarzinom vom diffusen Typ siehe Differentialdiagnose). Beim intestinalen Typ ist das Tumorgewebe relativ scharf gegenüber der Umgebung abgegrenzt und zeigt meist tubuläre Tumorformationen, die von Zylinderepithel ausgekleidet werden. In der Nachbarschaft von Magenkarzinomen des intestinalen Typs finden sich gehäuft Dysplasien als sogenannte Ausläuferläsionen oder schwere Formen der chronisch atrophen Gastritis mit intestinaler Metaplasie ( 1302).
update 30. August 2018
Klinik
Vorkommen:
In Europa und USA liegt der Prozentsatz der Magenfrühkarzinome bezogen auf die Gesamtzahl operierter Magenkarzinompatienten zwischen 5 und 20%, in Japan zwischen 40 und 60% (flächendeckendes Screening-Programm aufgrund hoher Magenkarzinominzidenz ermöglicht Entdeckung von asymptomatischen Frühkarzinomen, unterschiedliche histologische Karzinomdefinition). Eine Rate von weniger als 10% Magenfrühkarzinome bezogen auf alle neu diagnostizierten Magenkarzinome deutet entweder auf einen schlechten klinischen Standard in der Primärdiagnostik oder eine hohe Selektion im Rahmen der Patientenzuweisung. Das mittlere Alter bei Diagnosestellung beträgt 65 Jahre.
Risikofaktoren:
Übermässiger Konsum gesalzener Nahrung, welche zu einer Produktion von Mutagenen als Folge der Nitritbildung führt, die Infektion mit Helicobacter pylori, Magenstumpfkarzinom (nach Magenoperationen wegen Ulkuskrankheit entstehen ein grosser Teil dieser Stumpfkarzinome wahrscheinlich aufgrund einer persistierenden HP Infektion und weniger als Folge der Operation) und eine genetische Prädisposition sind bekannte Risikofaktoren für die Entwicklung eines Magenkarzinoms. Vitamin C und Beta-Carotene wirken dagegen protektiv.
Symptomatik:
Frühstadien sind meist asymptomatisch. Die meisten Symptome des Magenkarzinoms repräsentieren eine fortgeschrittene Erkrankung. Die Patienten beschweren sich über Verdauungsstörungen, Übelkeit, Erbrechen, Dysphagie, postprandiales Völlegefühl, Appetits- und Gewichtsverlust.
Diagnostik und Therapie:
Alle länger (Wochen) anhaltenden Oberbauchbeschwerden sind besonders bei positiver Familienanamnese unbedingt endoskopisch abzuklären. Die chirurgische Therapie des Magenkarzinoms umfaßt die Tumorentfernung unter Einhaltung eines adäquaten Sicherheitsabstandes in Abhängigkeit des bioptisch festgestellten Wachstumstyps. Aufgrund der relativ guten Abgrenzung gegen die Umgebung sind beim intestinalen Typ geringere Mindestresektionsabstände vom makroskopisch erkennbaren Tumorrand erforderlich. In situ soll ein Sicherheitsabstand von 4-6 cm vom Tumorrand angestrebt werden, was am nicht aufgespannten, unfixierten Operationspräparat 2-3 cm entspricht. Beim diffusen Typ sollte der in situ gemessene Abstand 8cm betragen.
Lymphknotenmetastasen sind beim Mukosatyp in etwa 2-10% und beim Submukosatyp in etwa 4-20% der Fälle nachweisbar. Magenfrühkarzinome erfordern daher prinzipiell ebenso wie fortgeschrittene Magenkarzinome eine radikale chirurgische Therapie mit konsequenter Lymphadenektomie einschließlich der Resektion des großen und kleinen Netzes.
Prognose:
Die Prognose beim Magenkarzinompatienten ist wesentlich von der Tumorausbreitung abhängig. Nur durch eine verbesserte Früherkennung einerseits und eine histologie- und stadiengerechte chirurgische Therapie andererseits kann die Prognose bei Magenkarzinompatienten weiter verbessert werden. Die Magenfrühkarzinome haben (im Gegensatz zu den anderen Formen) eine sehr gute Prognose mit einer 5-Jahres Überlebensrate zwischen 95-100% bei intramukosalen Karzinomen und 80 und 90% bei Infiltration der Submukosa.
Am unteren Ende des Präparates Antrummukosa mit mässiggradiger chronischer, geringgradig aktiver Gastritis und ausgedehnter intestinaler Metaplasie (Becherzellen).
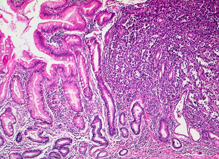
Weiter oben Invasion der Magenschleimhaut durch ein teils solides, teils drüsenbildendes Adenokarzinom mit stark atypischen Tumorzellen.
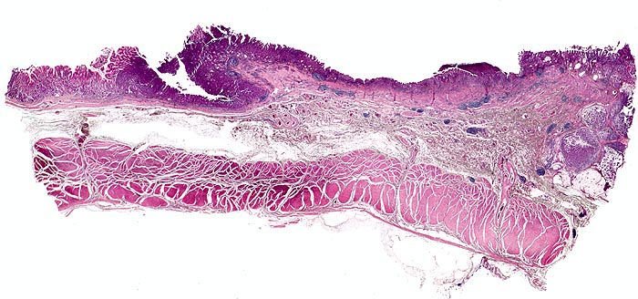
Fokale Erosion des Karzinoms bedeckt von fibrinoleukozytärer Membran.
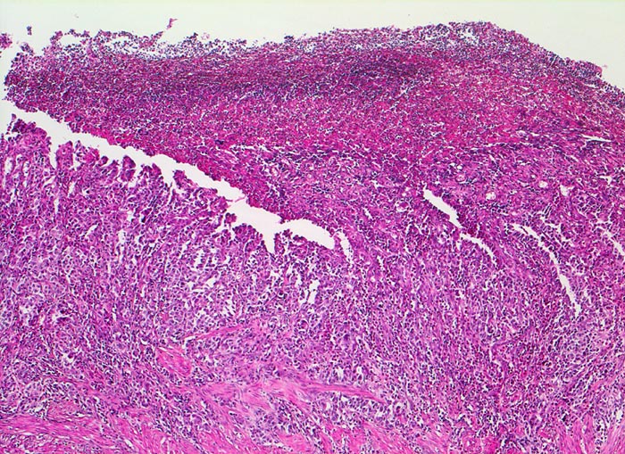
Tumorinfiltration der Submukosa an der oberen Präparathälfte.
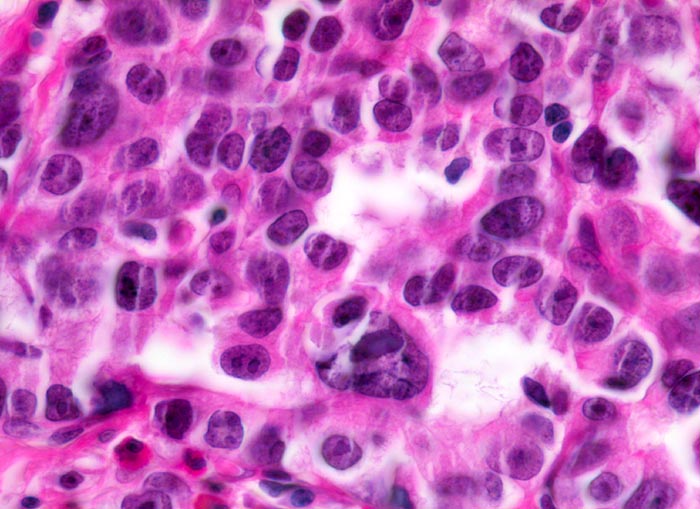
Der invasive Karzinomanteil zeigt teilweise muzinöse Differenzierung (teils siegelringzellige Tumorzellen schwimmen in extrazellulären Schleimseen).
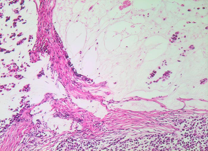
Tumorfreie Lamina muscularis propria.
Das sollte der Kliniker dem Pathologen mitteilen:
Tumorlokalisation.
Stagingbefunde.
Praxis-Tipp:
Bei längerer Transportdauer Gastrektomiepräparat vor der Fixation in 10% Formaldehyd an der großen Kurvatur eröffnen und auf einer Styroporplatte aufspannen.
Die Resektionsränder und bei Verdacht auf Magenfrühkarzinom zusätzlich das Tumorareal am unfixierten Präparat mit Faden markieren, da das Auffinden von Resektaträndern und Frühkarzinomen am formolfixierten Präparat oft schwierig ist.