Pathopic
HiPaKu
ZyPaKu
PathoBasic
PathoBasic Cytology
Quizzes
Projektinfos
PathoPic - Projekt- und Copyright-Info
About
Pathopic
HiPaKu
ZyPaKu
PathoBasic
PathoBasic Cytology
Quizzes
PathoPic – image database
/
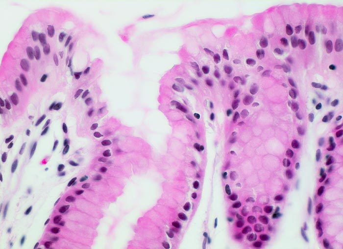
PathoPic ID 4424 - normales Magenantrum: Oberflächenepithel
de
Diagnose
normales Magenantrum: Oberflächenepithel
Diagnose Gruppe
Normalbefund
Topographie
Magenantrum
Topographie Gruppe
Oesophagus, Magen
Beschreibung
Das Oberflächenepithel, welches auch die Foveolae auskleidet ist hochprismatisch mit basalständigen Kernen. Das Stroma der Lamina propria ist locker und enthält keine Entzündungszellen.
Bilder Typ
Histologie
Vergrösserung
400
Alter
55
Geschlecht
männlich
Datum
Ersteintrag: 15.04.2002
CPS
·
©
2024 Institut für Pathologie Basel
/
Dr. med. Katharina Glatz-Krieger
.
·
v2.1