PathoPic – image database / PathoPic ID 5062 - Magenfrühkarzinom

de
Diagnose
Magenfrühkarzinom
Diagnose Gruppe
maligner Tumor
Topographie
Magenantrum
Topographie Gruppe
Oesophagus, Magen
Beschreibung
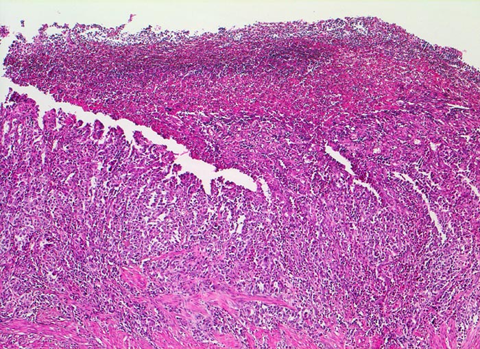
Das Karzinom zeigt in diesem Abschnitt eine geringe Differenzierung. Eindeutige Drüsenbildung ist hier nicht sichtbar. Eine fibrinoleukozytäre Membran bedeckt den oberflächlich erodierten Tumor.
Klinik
Endoskopische Kontrolle bei Patient mit bekannter chronischer Gastritis.
Bilder Typ
Histologie
Vergrösserung
50
Alter
68
Geschlecht
unbekannt
Datum
Ersteintrag: 05.07.2002
Update: 14.07.2008