PathoPic – image database / PathoPic ID 5051 - Adenokarzinom intestinaler Typ nach Lauren

de
Diagnose
Adenokarzinom intestinaler Typ nach Lauren
Diagnose Gruppe
maligner Tumor
Topographie
Magenantrum
Topographie Gruppe
Oesophagus, Magen
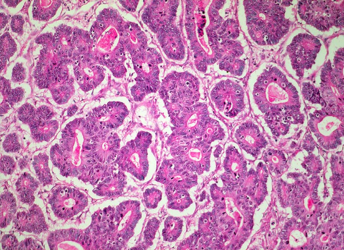
Beschreibung
Das Karzinom bildet dos à dos liegende tubuläre drüsige Strukturen ähnliche einem Kolonkarzinom.
Zusatzbefund
Polypoider Tumor im Magenantrum.
Klinik
Endoskopische Kontrolle bei Patient mit bekannter chronischer Gastritis.
Bilder Typ
Histologie
Vergrösserung
100
Alter
68
Geschlecht
unbekannt
Datum
Ersteintrag: 05.07.2002
Update: 14.07.2008