PathoPic – image database / PathoPic ID 5054 - chronische Gastritis mit intestinaler Metaplasie

de
Diagnose
chronische Gastritis mit intestinaler Metaplasie
Diagnose Gruppe
Metaplasie / Heterotopie
Topographie
Magenantrum
Topographie Gruppe
Oesophagus, Magen
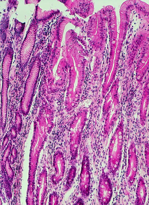
Beschreibung
Am linken Bildrand sind Schleimdrüsen vom Magenantrumtyp erkennbar. Die übrigen Drüsen enthalten Becherzellen und erinnern an Dünndarmschleimhaut. Die Lamina propria ist entzündlich infiltriert.
Zusatzbefund
Magenfrühkarzinom.
Klinik
Endoskopische Kontrolle bei Patient mit bekannter chronischer Gastritis.
Kommentar
Die vorliegenden Veränderungen sind am ehesten Folge einer Helicobacterinfektion und stellen in diesem Fall den Risikofaktor für die Entwicklung des Magenkarzinoms dar. Patienten mit Magenkarzinom zeigen gehäuft eine intestinale Metaplasie und Atrophie der Magenschleimhaut.
Bilder Typ
Histologie
Vergrösserung
100
Alter
68
Geschlecht
unbekannt
Datum
Ersteintrag: 06.10.2002