AP/ Barrettösophagus

Diagnose
Barrettösophagus
Diagnose Gruppe
Metaplasie / Heterotopie
Topographie Gruppe
Oesophagus, Magen
Topographie
Oesophagus, distal
Einleitung
Definition:
Die Barrettmukosa ist ein metaplastisches Epithel (Zylinderepithel vom intestinalen Typ mit Becherzellen), das sich als Reaktion auf einen chronischen Entzündungsreiz durch gastroösophagealen Reflux von Säure und Galle aus nicht verhornendem Plattenepithel des distalen Ösophagus bildet. Die Diagnose eines Barrettösophagus basiert auf der endoskopischen Feststellung einer Zylinderepithelauskleidung des distalen Ösophagus und des histologischen Nachweises einer Barrett-Mukosa.

Pathogenese:
Eine benigne Komplikation der gastroösophagealen Refluxerkrankung (GERD) ist die Refluxösophagitis mit ihren möglichen Folgen wie Ulkus oder peptische Striktur. Eine potentiell maligne Komplikation der GERD ist die Entwicklung eines metaplastischen Barrett-Ösophagus, der als Präkanzerose für die Entwicklung eines Adenokarzinoms des distalen Ösophagus anzusehen ist. Man unterscheidet ein langstreckiges (>3cm) von einem häufiger auftretenden kurzstreckigen Barrettsegment (<3cm).

Risikokaskade:
  • Mehr als 50% der Menschen >50 Jahre haben eine Hiatushernie. Von diesen entwickeln
  • 5% pathologischen Reflux (GERD)
  • 0.5% eine Refluxösophagitis
  • 0.05% einen Barrettösophagus
  • 0.005% ein Adenokarzinom des Ösophagus auf dem Boden einer Barrettmukosa
Morphologie:
Makroskopisch finden sich zungenförmige, nach proximal reichende rötliche (lachsfarbene), der Magenschleimhaut ähnliche Schleimhautausläufer im distalen Ösophagus. Die Barrettmukosa ist charakterisiert durch eine intestinalen Metaplasie mit Becherzellen (> 9) innerhalb des metaplastischen Zylinderepithels des distalen Ösophagus.
Zusätzlich kann die Barrettmukosa eine niedriggradige (> 3) oder hochgradige intraepitheliale Neoplasie (=Dysplasie) mit zunehmenden zellulären und architektonischen Atypien entwickeln und schliesslich in ein invasives Adenokarzinom übergehen. Die Verwechslung mit reaktiven entzündlich bedingten Atypien führt oftmals zur Überdiagnose einer niedriggradigen Dysplasie.

Verlauf:
Über die Hälfte der Patienten mit einer hochgradigen intraepithelialen Neoplasie entwickeln innerhalb der nächsten 5 Jahre ein invasives Adenokarzinom (> 1481) und ein Drittel hat zum Zeitpunkt der Diagnosestellung einer hochgradigen Dysplasie bereits ein invasives Karzinom an anderer Stelle im Ösophagus (Biopsietrefferfehler).

Anmerkung:
Da eine intestinale Metaplasie der Kardiaschleimhaut bei Helikobaktergastritis morphologisch sehr ähnlich aussieht wie eine Barrettmukosa im distalen Ösophagus bei Reflux, ist die exakte Lokalisationsangabe der Biopsieentnahmestelle durch den Endoskopiker wichtig. Biopsien aus dem distalen Ösophagus und dem Magen sollten in getrennten Gefässen mit genauer Lokalisationsangabe zur pathologischen Untersuchung eingesandt werden.

update 30. August 2018
Klinik
Vorkommen und Risikofaktoren:
Die gastroösophageale Refluxerkrankung (GERD) zeigt eine Prävalenz von ca. 20% mit steigender Tendenz. Der Barrettösophagus wird überwiegend bei Männern weisser Hautfarbe diagnostiziert. Die Prävalenz nimmt mit dem Alter zu und erreicht bei 70 bis 80 Jahren ein Plateau. Einen Barrett-Ösophagus findet man bei 10-15% der Patienten, die wegen Refluxsymptomen endoskopiert werden und bei 5% der Patienten, die wegen anderen Symptomen endoskopiert werden.
Risikofaktoren für die Entwicklung eines Barrett-Ösophagus:
  • Chronischer Reflux
  • Axiale Hiatushernie
  • Männliches Geschlecht
  • Alter >50
  • Alter <30 bei Auftreten von Refluxsymptomen
  • Erhöhter Body Mass Index
  • Nikotinabusus
  • Vermehrtes intraabdominelles Fett

Symptome:
Sodbrennen ist neben Aufstossen und Regurgitationen das sensitivste Symptom einer GERD. Extraösophageale Manifestationen sind chronischer Husten, Asthma, Laryngitis und dentale Ersionen. Rund 44% aller Patienten mit Barrett-Ösophagus geben allerdings keine relevanten Symptome an.

Diagnostik:
Vor endoskopischer Untersuchung und Biopsieentnahme sollte die Refluxösophagitis medikamentös behandelt werden, da die Beurteilung einer dysplastischen Veränderung in einer erosiven Entzündung schwierig ist (DD: reaktive Atypien oder echte Dysplasie). Hochgradige intraepitheliale Neoplasien und frühe invasive Karzinome sind endoskopisch nicht sicher erfassbar. Deshalb sollten bei bekanntem Barrettösophagus in 1-2cm Abständen Biopsien in allen vier Quadranten entnommen werden, um dysplastische Herde mit grösserer Wahrscheinlichkeit zu erfassen. Bei der endoskopischen Untersuchung muss der Gastroenterologe einerseits die Grenze zwischen Plattenepithel und Zylinderepithel festlegen (Z-Linie), andererseits den gastroösophagealen Übergang identifizieren, welcher definiert ist durch den Beginn der Magenfalten. Wenn die Z-Linie oberhalb des gastroösophagealen Übergangs lokalisiert ist, liegt eine Zylinderepithelauskleidung des distalen Ösophagus vor. Weitere Abklärungsmodalitäten neben der oberen Endoskopie umfassen die Ösophagusmanometrie und die Impedanz-pH-Metrie.

Therapie:
Ziel der Refluxtherapie ist die Symptomfreiheit und die Verhinderung von Komplikationen. Als Allgemeinmassnahmen gehören die Gewichtsabnahme, Erhöhung des Kopfendes des Bettes, Vermeidung von späten Mahlzeiten, Rauchstopp und Reduktion des Alkoholkonsums. Patienten mit Barrett-Ösophagus erhalten eine Dauertherapie mit Protonenpumpenhemmern (PPI). Bei therapierefraktären Fällen stellt die laparoskopische Fundoplicatio eine Alternative zur medikamentösen Langzeittherapie dar.
Bei Nachweis einer niedriggradigen Dysplasie, die durch einen zweiten Gastropathologen bestätigt wurde, besteht die Indikation zur Radiofrequenzablation der Barrett-Mukosa. Dies senkt das Risiko zur Progression in eine hochgradige Dysplasie oder ein Adenokarzinom um 25%. Eine Barrett-Mukosa mit hochgradiger Dysplasie oder intramukosalem Karzinom kann kurativ endoskopisch reseziert werden. Die residuelle Barrett-Mukosa wird mittels Radiofrequenzablation behandelt. Bei einem Barrett-Karzinom mit tiefer submukosaler Infiltration >0.5mm besteht auch bei vollständiger endoskopischer Abtragung die Operationsindikation, weil in diesen Fällen bei bis zu 30% bereits eine lymphogene Metastasierung vorliegt. Wegen der hohen Morbidität und Mortalität, die mit diesem Eingriff verbunden ist, müssen das Metastasierungsrisiko und die Operationsmorbidität/mortalität gegeneinander abgewogen werden.

Prognose:
Das jährliche Karzinomrisiko eines Barrett-Ösophagus liegt bei 0.22% für den langstreckigen Barrett-Ösophagus und bei 0.03% für den kurzstreckigen Barrett-Ösophagus. Aufgrund des geringen Entartungsrisikos besteht keine Behandlungsindikation für einen nicht dysplastischen Barrett-Ösophagus. Kontrollendoskopien alle 3-4 Jahre sind indiziert, denn das Risiko, an einem Barrett-Karzinom zu sterben, wird dadurch signifikant gesenkt.

update 20. August 2017
Morphologie
Morphologische Merkmale:
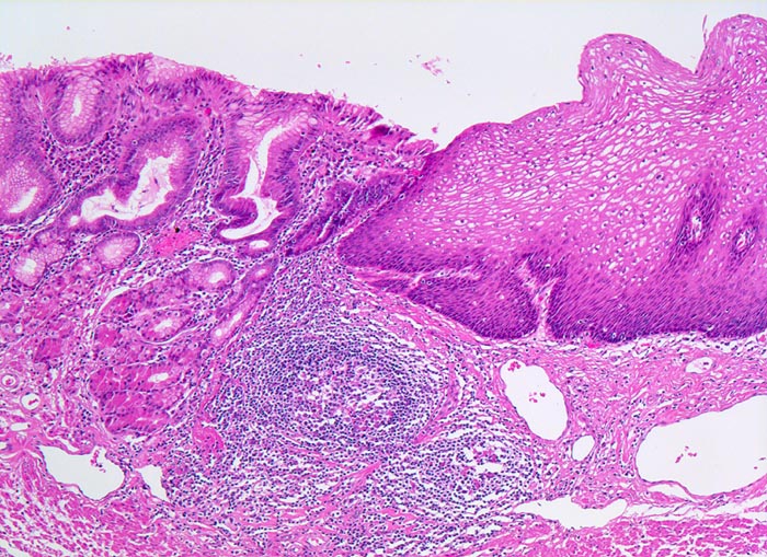
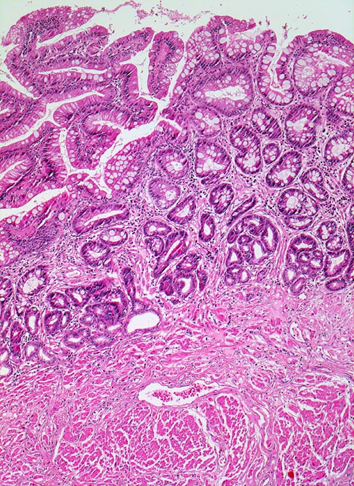
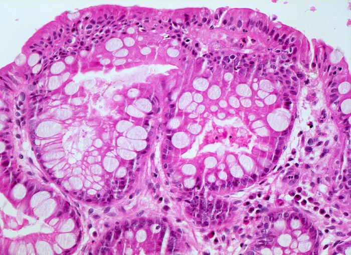
  • Distales Ösophagusteilstück.
  • Von oben nach unten: Magenschleimhaut vom Fundustyp mit spezialisierten Magendrüsen, Ösophagusschleimhaut (nicht verhornendes Plattenepithel), Schleimhaut vom Kardiatyp (villoglanduläre Oberfläche, Zylinderzellen) mit herdförmig intestinaler Metaplasie (Becherzellen und Paneth'sche Körnerzellen mit rotem granulärem Zytoplasma) vereinbar mit Barrettmukosa.
  • Mässiggradige chronische (Plasmazellen), geringgradig aktive (neutrophile Granulozyten) Entzündung der Magenschleimhaut.
  • Keine Epitheldysplasie (intraepitheliale Neoplasie) im Bereich der Barrettmetaplasie.
Das sollte der Kliniker dem Pathologen mitteilen:
  • Endoskopischer Befund.
  • Genaue Lokalisation der Biopsieentnahme.
  • Vorbiopsien.
  • Tumorverdacht.
  • Ausdehnung der Barrettmukosa.
Praxis-Tipp:
  • Bei Biopsien aus dem gastroösophagealen Übergang genaue Lokalisation der Biopsieentnahmestellen angeben (Skizze).
  • Biopsien aus dem Ösophagus und aus dem Magen in getrennten Gefässen einsenden.
Makroskopie
Virtuelles Präparat
Befund
Pathologischer Befund
Normalbefund
Datum
Ersteintrag: 17.03.2019
Update: 17.03.2019